ક્રેનિયોટોમી એ એક સર્જીકલ પ્રોસિજર છે કે જેમાં બ્રેઇન માં જુદા જુદા પ્રકારની મેડિકલ પ્રોસીજર પર્ર્ફોર્મ કરવા માટે સ્કલ બોનમાં સ્મોલ હોલ ( opening) બનાવવામા આવે છે.
2) Explain/ Define craniectomy.(ક્રેનિએક્ટોમી ને વ્યાખ્યાયિત કરો)
ક્રેનિએક્ટોમી એ એક સર્જીકલ પ્રસિજર છે કે જેમાં સ્કલ બોન ના સ્મોલ પોર્શન ને રીમુવ કરવામાં આવે છે.
3) Explain/ Define Dysphagia. (ડીસ્ફેજીયા ને વ્યાખ્યાયિત કરો)
ગળવામાં (Swallowing) તકલીફ થાય તેને ડિસ્ફેજીયા કહેવામાં આવે છે.
4) Define/ Explain photophobia. (ફોટોફોબિયા ને વ્યાખ્યાયિત કરો)
લાઈટ ને ટોલરેટ કરી શકાય નહીં તેને ફોટોફોબિયા કહેવામાં આવે છે.
ફોટોફોબિયા ની કન્ડિશન હોય ત્યારે વ્યક્તિ જ્યારે minor લાઇટ માં પણ Exposure થાય તો તેની આંખ મા પેઇન તથા ડિસ્કમ્ફર્ટ જોવા મળે છે.
5) explain/ define Agnosia. (એગ્નોશિયા ને વ્યાખ્યાયિત કરો)
એગ્નોસિયા એ એક પ્રકારનો ન્યુરોલોજીકલ ડિસઓર્ડર છે કે જેમાં વ્યક્તિ એ તેની સેન્સરી સિસ્ટમ દ્વારા કોઈપણ things or Object ને ઓળખવામાં અસક્ષમ હોય છે તેને એગ્નોસિયા કહેવામાં આવે છે.
6) Define/ Explain Ataxia. (એટેક્શિયા ને વ્યાખ્યાયિત કરો)
એટેક્શિયા એ એવી કન્ડિશન છે કે જેમાં વ્યક્તિ ની મસલ્સ મુમેન્ટ એ પ્રોપરલી કોઓર્ડીનેટ થઈ શકતી નથી તેના કારણે ચાલવામાં , બોલવામાં, તથા સેલ્ફ કેર એક્ટિવિટી કરવામાં ડીફીકલ્ટી થાય છે.
7) Explain/ Define Tone. (ટોન ને વ્યાખ્યાયિત કરો)
રેસ્ટ સમયે મસલ્સ માં જે tension પ્રેઝન્ટ હોય તેને ટોન કહેવામાં આવે છે.
8) Explain/ define the increase intracranial pressure. (ઇન્ક્રીઝ ઇન્ટ્રા ક્રેનીયલ પ્રેસર ને વ્યાખ્યાયિત કરો)
ઇન્ટ્રા ક્રેનિયલ પ્રેશર એ એવા પ્રકારનુ પ્રેશર કે જે સ્કલ ની ઇન્સાઇડ માં પ્રેઝન્ટ હોય છે. આ પ્રેશર એ મુખ્યત્વે બ્રેઇન ટીચ્યુ તથા સેરેબ્રોસ્પાઈનલ ફ્લુઇડ વચ્ચે જોવા મળે છે.
ઇન્ક્રીઝ ઇન્ટ્રાક્રેનીયલ પ્રેસર એટલે સેરેબ્રોસ્પાઇનલ ફ્લુઇડ ના નોર્મલ પ્રેશર કરતા csf નુ પ્રેશર ઇન્ક્રીઝ થાય તેને ઇન્ક્રીઝ ઇન્ટ્રા ક્રેનીયલ પ્રેશર કહેવામાં આવે છે.
Normal intra cranial pressure is 5 – 15 mmhg .
In increase intracranial pressure the pressure of csf is >15 mmhg .
9)Headache is also known as a:=Cephalalgia (સેફાલાલ્જીયા)
10) Explain/ Define concussion .(કનકશન ને વ્યાખ્યાયિત કરો)
Concussion (કન્કશન) એ brain (બ્રેઇન) પર લાગેલા અચાનક traumatic impact (ટ્રોમેટિક ઈમ્પેક્ટ) અથવા jolt (જોલ્ટ) થી થતો એક mild traumatic brain injury (માઇલ્ડ ટ્રોમેટિક બ્રેઇન ઇન્જરી) છે, જેમાં neural function (ન્યુરલ ફંક્શન) થોડા સમય માટે ડિસ્ટર્બ થાય છે અને confusion (કનફ્યુઝન), headache (હેડએક), dizziness (ડિઝઝિન્સ), તથા ક્યારેક loss of consciousness (લોસ ઑફ કોન્શિયસનેસ) જેવા સિમ્પટોમ્સ દેખાય છે, જ્યારે structural brain damage (સ્ટ્રક્ચરલ બ્રેઇન ડૅમેજ) સામાન્ય રીતે જોવા મળતો નથી.
કનકશન મા ન્યુરોલોજીકલ ફંક્શન એ ટેમ્પરરી લોસ થાય છે તથા બ્રેઈન મા કોઇ પણ પ્રકારનું સ્ટ્રકચરલ ડેમેજ જોવા મળતું નથી.કનકશન માં પેશન્ટ ની કંન્શીયસનેસ એ પાંચ મિનિટ તથા તેના કરતા પણ ઓછા સમય માટે લોસ થાય છે.કનકશન માં મુખ્યત્વે headache, ચક્કર, Nausea, વોમીટીંગ્સ જોવા મળે છે.
11) Explain/ Define Contusion. (કન્ટયુઝન ને વ્યાખ્યાયિત કરો)
સેરેબ્રલ કંટ્યુઝન માં બ્રેઇન ટીશ્યુ નું બ્રુઇઝીંગ જોવા મળે છે.
મેજોરીટી કંટ્યુઝન એ ફ્રન્ટલ તથા ટેમ્પોરલ લોબ્સ માં જોવા મળે છે.
આ કંટ્યુઝન એ મુખ્યત્વે બ્રેઇનમાં કોઈપણ બ્લન્ટ ટ્રોમા તથા ઇન્જરી થવાના કારણે જોવા મળે છે.
12) paraplegia (પેરાપ્લેજિયા) : જ્યારે કોઈપણ વ્યક્તિની લોવર extremities ની sensory તથા motor ફંક્શન impairment થાય તો તેને શું કહેવામાં આવે છે?
paraplegia (પેરાપ્લેજિયા)
13)Quadriplegia ( ક્વાડ્રિપ્લેજિયા) : જ્યારે કોઈપણ વ્યક્તિની લોવર extremities તથા arms નું મોટર તથા sensory ફંક્શન impairment થયેલું હોય તો તેને શું કહેવામાં આવે છે?
Quadriplegia ( ક્વાડ્રિપ્લેજિયા)
14)monoplegia (મોનોપ્લેજિયા ) :જ્યારે કોઈપણ વ્યક્તિનું ગમે તે એક limb નું મોટર તથા સેન્સરી ફંક્શન impaired થયેલું હોય તો તેને શું કહેવામાં આવે છે?
monoplegia (મોનોપ્લેજિયા )
15)Hemiplegia (હેમીપ્લેજિયા) :જ્યારે કોઈપણ વ્યક્તિનું હાફબોડી પેરાલાઇઝ થાય તો તેને શું કહેવામાં આવે છે?
Hemiplegia (હેમીપ્લેજિયા)
Explain the Neurological assessment. (ન્યુરોલોજિકલ અસસેસમેન્ટ નુ વર્ણન કરો)
ન્યુરોલોજીકલ એસેસમેન્ટ માં મેઇનલી પેશન્ટનુ સેન્સરી તથા મોટર રિસ્પોન્સ, સ્પેશ્યલી પેશન્ટના રિફ્લેક્સિસ તથા નર્વસ સિસ્ટમમાં કોઈપણ impairment છે કે નોર્મલ છે તેનું અસેસમેન્ટ કરવામાં આવે છે.
ન્યુરોલોજીકલ એક્ઝામિનેશનમાં પેશન્ટની કમ્પ્લીટ હેલ્થ હિસ્ટ્રી લેવામાં આવે છે.
A) present illness:=
પેશન્ટ ને કોઈપણ પ્રકારના sign and symptoms છે કે નહી તે અસેસ કરવુ.
પેશન્ટને કોઇ પણ પ્રકાર ના સાઇન તથા સિમ્ટોમ્સ નુ onset, Duration, Presentation, Quality, Quantity, precipitating તથા Relieving factor વિસે પુછવુ.
જો પેશન્ટને પેઇન પ્રેઝન્ટ હોય તો તેનું લોકેશન, ઇન્ટરસિટી તથા પેઇન નુ રેડીએશન થાય છે કે નહીં તેના વિશે પૂછવું.
પેશન્ટને તેની ડેઇલી રૂટીન એક્ટિવિટી વિશે પૂછવું.
પેશન્ટને બોલવામાં, જોવામાં ,સાંભળવામાં, સ્વાદમાં તથા સ્મેલમાં કોઈપણ ડીફીકલ્ટી છે કે નહીં તે અસેસ કરવુ.
પેસન્ટ ને તેની સ્લીપ પેટર્ન વિશે પૂછવું.
પેશન્ટ એ કોઈપણ પ્રકારની મેડિકેશન જેમ કે એન્ટીહાઈપરટેન્સિવ, એન્ટિડાયાબિટીક , સિડેટીવ, મુડ એલીવેટીંગ ડ્રગ તથા ઓવર ધ કાઉન્ટર મેડીકેશન નો યુઝ કરે છે કે નહીં તેના વિશે પૂછવું.
B) Past health history:=
પેશન્ટને પાસ્ટમાં કોઈપણ પ્રકારની હિસ્ટ્રી જેમ કે એકસીડન્ટ , fall down,કોઇપણ બ્રેઇન તથા સ્પાઇનલ કોડ મા ઇન્જરી, તથા કોઈપણ ક્રોનિક ઇલનેસ, આચકી તથા બીજા કોઈ પણ બીજી તથા ન્યુરોલોજીકલ ડિસઓર્ડર છે કે નહીં તે Assess કરવું.
C) Family health history :=
ફેમિલી મેમ્બર્સ માં કોઈપણ વ્યક્તિને ક્રોનીક ઇલનેસ પ્રેઝન્ટ છે કે નહીં તેના વિશે પૂછવું.
તથા ફેમિલી મેમ્બર્સ ને બીજા કોઈ પણ પ્રકારના કોમ્પ્લિકેશન છે કે નહીં તેના વિશે પૂછવું.
ન્યુરોલોજિકલ એસેસમેન્ટ ને પાંચ કમ્પોનન્ટ માં ડિવાઇડ કરવામાં આવે છે.
1) level of consciousness and cognition (લેવલ ઓફ કંસિયસનેસ તથા કોગ્નિશન) ,
2) cranial nerve ( ક્રેનીયલ નર્વ) ,
3) motor function ( મોટર ફંક્શન) ,
4) Sensory function (સેન્સરી ફંકશન) ,
5) Reflexes ( રિફ્લેક્સિસ)
1) level of consciousness and cognition (લેવલ ઓફ કંસિયસનેસ તથા કોગ્નિશન)
A) Mental status:=
મેન્ટલ સ્ટેટસમાં પેશન્ટનું બિહેવિયર, અપિરિઅન્સ, ડ્રેસ, grooming, movement, તથા ફેશિયલ એક્સપ્રેસન અસેસ કરવામાં આવે છે.
B) Cognitive assessment:=
પેસન્ટ નુ કોગ્નિટિવ અસેસમેન્ટ માં પેશન્ટ એ ટાઈમ , પ્લેસ ,તથા પર્સન સાથે orientation છે કે નહીં તે કરવું.
C) Assess the memory of patient:=
મેમરીમાં પેશન્ટની 1) રિસેંટ, 2) રીમોટ તથા 3) ઇમિડીયેટ મેમરી એસેસ કરવામાં આવે છે.
1)રિસેંટ:= રીસેન્ટ મેમરીમાં એવું પૂછવામાં આવે છે કે પેશન્ટે બ્રેકફાસ્ટ તથા લોન્ચ અને ડિનરમાં શું ખાધું.
2)રીમોટ := રિમોટ મેમરીમાં પેશન્ટની બર્થ ડેટ ક્યારે આવે છે તથા તેને ચાઈલ્ડહુડ માં કોઈપણ ઇવેન્ટ છે કે જે યાદગાર હોય તે assess કરવું.
3) ઇમિડીયેટ મેમરી := ઇમિડીયેટ મેમરીમાં પેશન્ટને પાંચ થી છ ડિજિટ પ્રોવાઇડ કરવા ત્યારબાદ તેને ફોરવર્ડ તથા બેકવર્ડમાં રીપીટ કરવા માટે કહેવું.
D) Intellectual function:=
આમાં પેશન્ટનું આઈક્યુ લેવલ ચેક કરવામાં આવે છે તે મુખ્યત્વે ઇન્ટરવ્યૂ દ્વારા અસેસ કરવામાં આવે છે.
E) thought content:=
આમાં ઇન્ટરવ્યૂ દ્રારા પેશન્ટનું ઇનસાઇડ ચેક કરવામાં આવે છે.
પેશન્ટના માઇન્ડમાં જે thoughts આવે તે પોઝિટિવ છે કે નેગેટીવ તે ચેક કરવામાં આવે છે.
F) Emotional status:=
આમાં પેશન્ટ નું mood swing થાય છે કે નહીં patient એ ઇરીટેબલ થાય છે કે નહી તથા એ Angry થાય છે કે નહીં તે અસેસ કરવામાં આવે છે.
g) Language ability:=
લેંગ્વેજ એબિલિટી માં પેશન્ટ એ કઈ લેંગ્વેજ ને અન્ડરસ્ટેન્ડ કરી શકે તથા કઈ લેંગ્વેજમાં Writing કરી શકે તથા સ્પીકિંગ કરી શકે તે પુછવુ.
H) impacts on lifestyle :=
આમાં પેશન્ટની ન્યુરોલોજીકલ ડીસઓર્ડર છે તો તેની લાઇફ માં કોઈપણ પ્રકારનું ઇમ્પેક્ટ થાય છે કે નહી તે અસેસ કરવામાં આવે છે.
I) level of consciousness Assess through the glasgow coma scale ( GCS ).
Glasgo coma સ્કેલ મા પેશન્ટને કોઈપણ પ્રકારનું સ્ટીમ્યુલાઈ પ્રોવાઈડ કરવામાં આવે અને તે પેશન્ટનો કયા પ્રકારનો response provide કરે છે તે અસેસ કરવામાં આવે છે.
ગ્લાસગો કોમાસ્કેલ ( glassgo coma scale) દ્વારા patient નુ consciousness level ચેક કરવામાં આવે છે.
જીસીએસ માં મેઈનલી ત્રણ કમ્પોનન્ટ એસેસ કરવામાં આવે છે.
1) Eye opening (આઇ ઓપેનીંગ)
2) Verbal Response (વબૅલ રિસ્પોન્સ)
3) Motor Response (મોટર રિસ્પોન્સ)
1) Eye opening (આઇ ઓપેનીંગ)
આઈ ઓપનિંગ માં ટોટલ ચાર સ્કોર આપવામા આવે છે.
1) Spontaneous ( સ્પોન્ટાનીઅસ:= આમાં પેશન્ટ એ પોતાની જાતે આઈ ને ઓપન તથા ક્લોઝ કરે તો તેને) := { 4 }
2) To voice (ટુ વોઇસ:= આમાં પેશન્ટ ને તેની આંખને ખોલવા તથા બંધ કરવા માટે કહેવામાં આવે અને તે પેશન્ટ ફોલો કરે તો તેને) := { 3 } ,
3) To pain (ટુ પેઇન := આમાં જો પેશન્ટને બોડીમાં પિંચ કરવામાં આવે અને પેશન્ટ એ આઈ એક્સપ્રેશન કરે તો તેને):= { 2 }
4) No response (નો રિસ્પોન્સ := જો પેશન્ટ પાસેથી કોઈપણ પ્રકારનો રિસ્પોન્સ ન આવે તો) := { 1 }
2) Verbal Response (વબૅલ રિસ્પોન્સ)
વર્બલ રિસ્પોન્સ માં ટોટલ પાંચ સ્કોર હોય છે.
1) Oriented ( ઓરીઅન્ટેડ:= જો વ્યક્તિ એ ટાઇમ, પ્લેસ તથા પર્સન વિશે પૂછવામાં આવે અને વ્યક્તિએ સાચો જવાબ આપો તો) := { 5 } ,
2) Confused ( કન્ફ્યુઝડ:= જો પેશન્ટ એ ટાઈમ, પ્લેસ અને પર્સન વિશે પૂછવામાં આવે તો અને પેશન્ટ એ કન્ફ્યુઝડ હોય તો):= { 4 } ,
3) Inappropriate word (ઇનએપ્રોપ્રીએટ વર્ડ:= આપણે જો પેશન્ટને કંઈક ક્વેશન કરીએ અને પેશન્ટ એ કંઈક બીજો જ જવાબ આપે તો ) := { 3 },
4) Incomprehensive sound ( ઇનકોમ્પરીહેન્સીવ સાઉન્ડ := જો પેશન્ટ ને કોઈપણ ક્વેશ્ચન કરવા માં આવે અને તે માત્ર mouth દ્વારા સાઉન્ડ જ કરે તો તેને) := { 2 } ,
5) No response (નો રિસ્પોન્સ := જો કોઈ રિસ્પોન્સ ન આપે તો) := { 1 }
3) Motor Response (મોટર રિસ્પોન્સ)
મોટર રિસ્પોન્સ માં મુખ્યત્વે છ સ્કોર હોય છે.
1) Obey command (ઓબે કમાન્ડ:= જે કાંઈ પણ પેશન્ટને કહેવામાં આવે છે પેશન્ટ એ પ્રોપરલી ફોલો કરે તો) := { 6 } ,
2) Localized pain ( લોકેલાઈસ્ડ પેઇન := જો પેશન્ટની ટીંચ કરવામાં આવે અને પેશન્ટ એ રિસ્પોન્સ પ્રોવાઇડ કરે તો) := { 5 } ,
3) Withdraw pain ( વીથ ડ્રો પેઇન := જો પેશન્ટને પીંન્ચ કરવામાં આવે અને પેશન્ટ એ હાથ હટાડવાની કોશિશ કરે તો) := { 4 } ,
4) flexion (ફ્લેકશન := જ્યારે પેશન્ટની બોડી ના કોઈપણ મીડ એરિયામાં પ્રેસ કરવામાં આવે અને પેશન્ટની બોડી એ ફ્લેક્સ થાય તો):= { 3 } ,
5) Extension ( એક્સટેન્શન := જો કોઈપણ સ્ટીમયુલાઈ પ્રોવાઇડ કરવાથી પેશન્ટ ની બોડી એ એક્સટેન્શન થાય તો) := { 2 } ,
6) No response (નો રિસ્પોન્સ := જો પેશન્ટ એ કોઈ પણ પ્રકારનો રિસ્પોન્સ જ પ્રોવાઈડ ના કરે તો):= { 1 } સ્કોર અપાય છે.
આમ ગ્લાસગોકોમા સ્કેલ મા મિનિમમ 3 અને મેક્સિમમ 15 સ્કોર હોય છે.
result:=
{ 3 } score achieve:= તો પેશન્ટને સિવ્યર ન્યુરોલોજીકલ ડેમેજ થયેલું હોય છે.
{ 7 } score Achieve:= તો પેશન્ટ એ કોમા ની કન્ડિશનમાં હોય છે.
{ 8-12} score Achieve:= તો પેશન્ટ ને મોડરેટ ન્યુરોલોજીકલ ડેમેજ થયેલું હોય છે.
{ 13-14} score Achieve:= તો પેશન્ટને માઇનર ન્યુરોલોજીકલ ડેમેજ હોય છે.
{ 15 } score Achieve:= તો પેશન્ટ એ ફૂલ્લીકંસ્યસ તથા oriented હોય છે.
આમ ગ્લાસગોકોમા સ્કેલ પરથી પેશન્ટ નું કંસિયસનેસ લેવલ અસેસ કરવામાં આવે છે.
2) explain about cranial nerves ( ક્રેનીયલ નર્વ).
ક્રેનીયલ નર્વ એક્ઝામિનેશન માં પેશન્ટ ની ક્રેનીયલ નર્વસ પ્રોપરલી ફંક્શન કરે કે નહીં તે assess કરવામાં આવે છે.
ટોટલ 12 ક્રેનીયલ નર્વ હોય છે.
Memory Trick: “Oh, Oh, Oh, To Touch And Feel Very Green Vegetables, AH!”
O: Olfactory (I)
O: Optic (II)
O: Oculomotor (III)
T: Trochlear (IV)
T: Trigeminal (V)
A: Abducens (VI)
F: Facial (VII)
V: Vestibulocochlear (VIII)
G: Glossopharyngeal (IX)
V: Vagus (X)
A: Accessory (XI)
H: Hypoglossal (XII).
Memory Tricks
1. To Remember the Names (Cranial Nerves in Order):
Mnemonic: Oh Oh Oh To Touch And Feel Very Green Vegetables Ah Heaven! (Olfactory, Optic, Oculomotor, Trochlear, Trigeminal, Abducens, Facial, Vestibulocochlear, Glossopharyngeal, Vagus, Accessory, Hypoglossal).
To Identify the Type (Sensory, Motor, or Mixed):
Mnemonic: Some Say Money Matters, But My Brother Says Big Brains Matter Most. (S = Sensory, M = Motor, B = Both/Mixed).
ASSESSMENT OF CRANIAL NERVES.
1) Olfactory nerve ( ઓલફેક્ટરી નર્વ)
Type of nerve:= સેન્સરી ( sensory)
ઓલફેક્ટરી નર્વ એ સ્મેલ ને ઓળખવાનું ફંક્શન કરે છે.
Assessment:=ઓલફેક્ટરી નર્વ અસેસ કરવા માટે પેશન્ટ ને તેની આંખો બંધ કરી કોઈપણ કોફી, ચા, ઓરેન્જ જેવી વસ્તુઓને તેના nostril પાસે રાખી અને સ્મેલ ને પરખવા માટે કહેવામાં આવે છે જો પેશન્ટ એ સ્મેલ ને પ્રોપરલી ઓળખી શકે તો તેની ઓલફેક્ટરી નર્વ એ પ્રોપરલી ફંક્શન કરે છે.
2) Optic nerve ( ઓપ્ટિક નર્વ)
Type of nerve := સેન્સરી (Sensory)
ઓપ્ટિક નવૅ એ વિઝયુઅલ એક્યુટી માટે ફંક્શન કરે છે.
Assessment:= વિઝ્યુઅલ એક્યુટી ને અસેસ કરવા માટે પેશન્ટ ને snellen ચાર્ટ દ્વારા Assess કરવામા આવે છે તેમાં પેશન્ટને સ્નેલેન ચાર્ટ થી 20 ફૂટ જેટલું દૂર રાખવામાં આવે છે ત્યારબાદ તેમાં રહેલી પ્રિન્ટેડ મટીરીયલ ને પેસન્ટ ને વાંચવા માટે કહેવામાં આવે છે.
3) Oculomotor nerve ( ઓક્યુલોમોટર નર્વ)
Type of nerve:= મોટર નવૅ ( motor nerve)
ઓક્યુલોમોટર નર્વ એ આઈલીડ ના muscles મુમેન્ટ માટે, પ્યુપીલરી કોન્સટ્રીકશન, તથા લેન્સના એકમોડેશન માટેનું ફંક્શન કરે છે.
Assessment:= ઓકયુલોમોટર નર્વ ના અસેસમેન્ટ માં આઇલીડ ની પ્રોપરલી મુમેન્ટ થાય છે કે નહીં તથા કોઈપણ લાઈટ સામે પ્રોપરલી રિએક્શન પ્રોવાઇડ કરે છે કે નહીં તે અસેસ કરવામાં આવે છે.
4) Trochlear nerve (ટ્રોક્લીયર નર્વ)
Type of the nerve:= મોટર નર્વ ( motor nerve)
ટ્રોક્લિયર નવૅ એ આઈ મસલ્સ ની મુમેન્ટ માટે જવાબદાર હોય છે.
Assessment:= આમાં air મા દોરેલા લેટર ને eye દવારા પેશન્ટને ફોલો કરવા માટે કહેવું જો પ્રોપરલી ફોલો કરી શકે તો પેશન્ટના આઈ મસલ્સની મોમેન્ટ પ્રોપરલી છે તેમ કહેવામાં આવે છે.
5) Trigeminal nerve (ટ્રાઇજીમીનલ નર્વ)
Type of nerve:= (મિક્સ નવૅ)
ટ્રાઇજીમીનલ નર્વ એ ફેસિયલ સેન્સેસન, કોર્નિયલ રિફ્લક્ષ , તથા માસ્ટીકેસન નુ આમ મિકસ ફંકશન કરે છે.
Assessment:= આમાં પેશન્ટ નું corneal રિફ્લક્ષ Assess કરવામાં આવે છે. પેશન્ટ ને પેઇન નું સેન્સેશન છે કે નહીં તે અસેસ કરવામાં આવે છે. તથા પેશન્ટ ને ટીથ ને ક્લીન કરવાની એબીલીટી ને Assess કરવા માટે એડવાઈઝ આપવી.
6) Abducent nerve (એબ્ડયુસન્ટ નવૅ)
Type of nerve:= મોટર નર્વ ( motor nerve)
એબ્ડયુસન્ટ એ આઇ ના મસલ્સ ના મુવમેન્ટ માટે નું ફંક્શન કરે છે.
Assessment:= આમાં આઇ ના મસલ્સ ની મુવમેન્ટ ને Assess કરવામાં આવે છે.
7) Facial nerve( ફેશિયલ નવૅ):=
Type of nerve:= મિક્સ નવૅ (mixed nerve)
ફેશ્યલ નર્વ એ ફેશિયલ એક્સપ્રેશન,સલાઇવેસન,ટીયરીંગ તથા ટેસ્ટ માટેનું ફંક્શન કરે છે.
Assessment:= ફેશિયલ નર્વ ના અસેસમેન્ટ માં પેશન્ટને સ્માઈલ કરવા માટે કહેવું, તથા ચિક્સને ફુલાવવા માટે અને આઇબ્રો ને ઉપર નીચે કરવા માટે કહેવુ જો પેશન્ટ એ પ્રોપરલી કરવામાં સક્ષમ હોય તો તેની ફેશિયલ નર્વ એ પ્રોપરલી ફંક્શન કરે છે તેમ કહેવામાં આવે છે.
વેસ્ટીબ્યુલો કોક્લિયર નવૅ એ હીયરીંગ તથા ઇક્વિલિબ્રિયમ માટેનું ફંક્શન કરે છે.
Assessment:= આમાં વેસ્ટિબ્યુલોકોક્લિયર નવૅ ને એસેસ કરવા માટે પેશન્ટ એ કોઈ વ્યક્તિએ બોલેલા વર્ડ્સ ને પ્રોપરલીં હીયરીંગ કરી શકે છે કે નહીં તે assess કરવામાં આવે છે.
9) glossopharyngeal nerve ( ગ્લાસોફેરિન્જીયલ નવૅ)
Type of nerve:= મિક્સ્ડ નવૅ ( Mixed nerve)
ગ્લાસોફેરિન્જીયલ નવૅ એ ટેસ્ટ માટે , ફેરિંગ્સ તથા ટંગ ના સેન્સેશન માટે અને ફેરિંજીયલ મસલ્સ ના મુવમેન્ટ માટે વર્ક કરે છે.
Assessment:= ગ્લાસોફેરિન્જીયલ નવૅ ના એસેસમેન્ટ માટે પેસન્ટ ને ખાટુ, ખારુ,અને મીઠા ટેસ્ટ ને અસેસ કરવા માટે કહેવું.
10) vagus nerve ( વેગસ નવૅ)
Type of the nerve:= મિક્સ નવૅ ( Mixed nerve)
વેગસ નવૅ એ ફેરિંગ્સ,લેરિંગ્સ તથા સોફ્ટ પેલેટ ના મસલ્સ મુમેન્ટ કરવા માટે અને ઇયર સેન્સેશન માટે નું ફંક્શન કરે છે.
Assessment:= વેગસ નર્વ ના Assessment માટે પેશન્ટને “ah” બોલવા માટે કહેવું અને પેશન્ટની પેલેટ તથા pharynx ની મુવમેન્ટ ને ઓબ્ઝર્વ કરવી તથા પેશન્ટના સ્પીચમાં કોઈપણ hoarseness પ્રેઝન્ટ છે કે નહીં તે અસેસ કરવું.
11) accessory nerve (એસેસરી નવૅ)
Type of nerve:= મોટર નર્વ (motor nerve)
એસેસરી નવૅ એ સ્ટરનોક્લેડોમાસ્ટ્રોઇડ તથા ટ્રેપેઝીઅસ મસલ્સ નુ ફંકશન કરે છે.
Assessment:= પેશન્ટને શોલ્ડર ની મુવમેન્ટ કરવા માટે કહેવું અને એસેસરી નવૅ નું ફંક્શન Assess કરવુ.
12) Hypoglossal nerve ( હાઈપોગ્લોસલ નવૅ)
Type of nerve:= મોટર નર્વ ( motor nerve)
હાઈપોગ્લોસલ નર્વ એ ટંગ ના મુવમેન્ટ કરાવવા માટે અગત્યનો ભાગ ભજવે છે.
Assessment:= હાઈપોંગ્સલ નવૅ ના એસેસમેન્ટ માટે પેશન્ટને તેની જીભને વચ્ચેના ભાગમાં સ્ટીક કરવા માટે કહેવું અને હાઈપોગ્લોસલ નર્વ ને Assess કરવી.
આમ 12 ક્રેનીયલ નર્વ ને અસેસ કરવામાં આવે છે.
3) Assessment about motor function ( મોટર ફંક્શન),
આમાં પેશન્ટની મોટર એબિલિટી, બેલેન્સ , અને કોઓર્ડીનેશન તથા gait નું અસેસમેન્ટ કરવામાં આવે છે.
A) Motor ability ( મોટર એબિલિટી)
આમાં મશલ્સ ની સાઈઝ, ટોન, strength, કોર્ડિનેશન, બેલેન્સ ,પોસ્ટર ગેટ, symmetry assess કરવામાં આવે છે.
પેશન્ટને કોઈપણ involuntary મુવમેન્ટ છે કે નહીં તે assess કરવામાં આવે છે.
પેશન્ટને rigidity તથા બોડીમાં સ્ટીફનેસ છે કે નહીં તે કરવામાં આવે છે.
B) Muscles strength ( મસલ્સ સ્ટ્રેંથ) :=
આમાં પેશન્ટ ની મસલ્સ સ્ટ્રેન્થ ને અસેસ કરવામાં આવે છે તથા પેશન્ટ ને કેટલા પ્રમાણમાં વીકનેસ છે તે અસેસ કરવામાં આવે છે.
C) Co ordination ( કોઓર્ડીનેશન)
આમાં પેશન્ટ નુ કોઓર્ડીનેશન ચેક કરવામાં આવે છે.
D) gait testing ( ગેઇટ ટેસ્ટીંગ)
આમાં પેશન્ટ એ પ્રોપરલી વોકિંગ કરી શકે છે કે નહીં તે અસેસ કરવામાં આવે છે.
4) Assessment about Sensory function (સેન્સરી ફંકશન),
1) touch sensation (ટચ sensation)
ટચ સેન્સેસન ને Assess કરવા માટે કોટન ને બોડીના પાર્ટ માં ટચ કરાવવામાં આવે છે અને ત્યારબાદ તેના સેન્સેશનને અસેસ કરવામાં આવે છે.
2) pain sensation ( પેઇન સેન્સેશન)
પેશન્ટ ની બોડીમાં શાર્પ ઓબ્જેક્ટ ને ટચ કરાવી ત્યારબાદ પેઇન ના સેન્સેશન ને અસેસ કરવામાં આવે છે.
3) temperature sensation (ટેમ્પરેચર સેન્સેશન)
આમાં પેશન્ટને હોટ તથા કોલ્ડ થીંક્સ નું સેન્સેશન છે કે નહીં તે એસેસ કરવામાં આવે છે.
4) vibration ( વાઇબ્રેશન)
વાઇબ્રેશન એ મુખ્યત્વે લો ફ્રિકવન્સી ટ્યુનિક ફોર્ક નો ઉપયોગ કરી અસેસ કરવામાં આવે છે.
5) position sense ( પોઝીશન સેન્સ)
Position sense ને assess કરવા માટે પેશન્ટની બંને આંખો ને ક્લોઝ કરવા માટે કહેવું ત્યારબાદ પગના અંગૂઠાને up and down હલાવવા માટે કહેવું અને ત્યારબાદ તેની મુમેન્ટ ને અસેસ કરવી.
5) Assessment about Reflexes ( રિફ્લેક્સિસ)
રિફ્લેક્સ ટેસ્ટિંગ માં મુખ્યત્વે પાંચ રિફ્લેક્સ assess કરવામાં આવે છે.
1) Biceps reflex ( બાયસેપ્સ રિફ્લેક્સ)
આ ટેસ્ટમાં એક્ઝામિનર એ પેશન્ટના fore arm ને પકડે છે ત્યારબાદ આર્મના ફ્રન્ટ પાર્ટ પર થમ્બ ને પ્લેસ કરે છે ત્યારબાદ થંબ પર હેમર ને સ્ટ્રાઈક કરે છે ત્યારબાદ એલ્બો નું પ્રોપરલી flexion થાય અને બાયસેપ્સ muscles નું પ્રોપરલી કોન્ટ્રાકશન થાય તો તે બાયસેપ્સ રિફ્લેક્સ એ નોર્મલ રિસ્પોન્સ છે.
2) Triceps Reflexes (ટ્રાઇસેપ્સ રિફ્લેક્સ)
આ ટેસ્ટમાં એક્ઝામિનર એ આર્મને સપોર્ટ પ્રોવાઇડ કરે છે અને ત્યારબાદ ટ્રાઇસેપ્સ tendon ને identifies કરે છે કે જે અપર arm માં એલ્બો થી 2.5 થી 5 સેન્ટીમીટર above પ્રેઝન્ટ હોય છે તેને hemmer દવારા ફ્લીક કરે છે આમાં ટ્રાઇસેપ્સ મસ્લ્સ એ contract થાય છે અને એલ્બો એ એક્સટેન્શન થાય છે તો ટ્રાયસેપ્સ રિફ્લક્ષ નોર્મલ કહેવામાં આવે છે.
3) Brachio radial ( બ્રેકીયો રેડીયલ)
આ પ્રોસિઝરમાં wrist થી 2.5 થી 5 સેન્ટિમીટર above hemmer દ્વારા gentaly strick કરવામાં આવે છે જો forearm નું ફલેક્શન થાય તો brachio radialis reflux નોર્મલ છે.
4) patteler reflux ( પટેલર રિફ્લક્ષ)
આમાં પેશન્ટને સુપાઇન પોઝીશન પ્રોવાઇડ કરવામાં આવે છે ત્યારબાદ એક્ઝામિનર એ leg ને ફેસીલીટેડ કરે છે જેના કારણે મસલ્સ એ રિલેક્સ થઈ જાય જો knee એ એક્સટેન્ડેડ થાય તો patteler reflux નોર્મલ છે.
આમાં પેશન્ટને સીટીંગ પોઝિશન provide કરવામાં આવે છે ત્યારબાદ patient ના પગ ને ફ્લોર થી થોડો ઉપર રાખવામાં આવે છે ત્યારબાદ એક્ઝામિનર નો પહેલો હાથ પેશન્ટના foot ના toe તરફના ભાગના નીચે રાખવામાં આવે છે ત્યારબાદ ankle ના પાછળના ભાગ પર હેમર દ્વારા srick કરવામાં આવે છે જો પેશન્ટનો પગ એ થોડો downward જાય તો પેશન્ટ નું Achilles reflux એ નોર્મલ છે તેમ કહેવામાં આવે છે.
આમ, patient ના Reflexes ને અસેસ કરવામાં આવે છે.
Explain the Diagnostic evaluation of the patient with the neurological disease and disorder. ન્યુરોલોજીકલ ડિસીસ વાડા પેશન્ટ ના ડાયગ્નોસ્ટિક ઈવાલ્યુએશન જણાવો.
ડાયગ્નોસ્ટિક ઈવાલ્યુશન એ મુખ્યત્વે કોઈપણ ડિસીસ ને એસેસ કરવા માટે યુઝ થાય છે.
ન્યુરોલોજીકલ ડીસઓર્ડર ને અસેસ કરવા માટે નીચે પ્રમાણે ના ડાયગ્નોસ્ટિક ઇવાલ્યુએશન કરવામાં આવે છે.
1) CSF ( Cerebro Spinal Fluid) Analysis
આ ટેસ્ટમાં સેરેબ્રો સ્પાઇનલ ફ્લુઇડ ( CSF) ને L3 – L4 તથા L4- L5 ની વચ્ચેની સ્પેસ માં સ્પાઇનલ નીડલ ઈન્સરસન કરીને સી.એસ.એફ ને એસ્પિરેટ કરવામાં આવે છે.
ત્યારબાદ Aspirate કરીને જુદા જુદા પ્રકાર ના disease ને Assess કરવા માટે યુઝ કરવામાં આવે છે.
Like:=
મેનેન્જાઇટીસ,
અલ્ઝાયમર ડીસીસ,
સેરેબ્રલ પાલ્સી,
એપીલેપ્સી,
મોટર ન્યુરોન ડીસીઝ,
મલ્ટીપલ સ્કલેરોસીસ,
વગેરે નિદાન કરવા માટે આ ટેસ્ટ કરવામાં આવે છે.
2) Skull and Spinal X ray:=
આ એક સિમ્પલ એક્સ રે છે કે જેમાં ફ્રેક્ચર ને ડીટેકક્ટ કરવા, બોન ઇરોઝન, કેલ્સિફિકેશન,
એબનોર્મલ વાસ્કયુલારિટી ને અસેસ કરવા માટે યુઝ થાય છે.
3) Cerebral Angiography:=
સેરેબ્રલ એન્જીઓગ્રાફી મા બ્રેઇન ની બ્લડ વેસલ્સ નુ એક્ઝામિનેશન કરવામાં આવે છે જો કોઇ બ્લડ વેસલ્સ ની એબનોર્માલીટીસ હોય તો તેમનુ ડિટેકશન કરવામાં આવે છે.
Ex:= એન્યુરીઝમ, Aartherosclerosis.
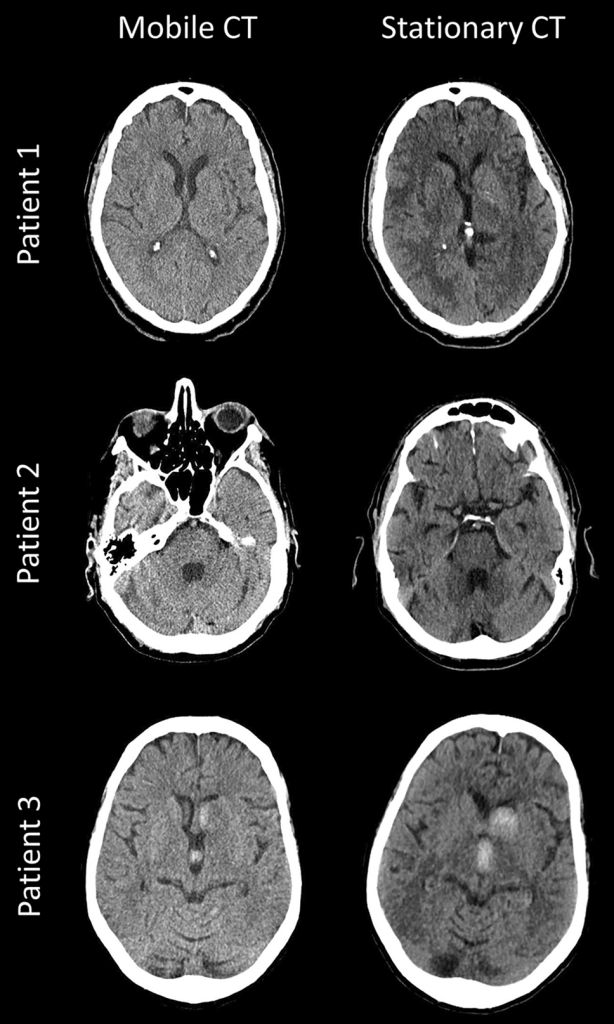
4)Computed Tomography (Ct scan):=
આ મેડિકલ ઈમેજીંગ ટેકનીક છે કે જેમા brain parts ના મલ્ટીપલ ઈમેજિંગ લેવામાં આવે છે.
Ct scan એ મુખ્યત્વે એ brain મા haemorrage, cyst, oedema, infraction, Brain Atrophy હોય તો તેને Assess કરવા માટે યુઝ થાય છે.
5) MRI ( Magnetic resonance imaging)
MRI Scan એ એક મેડિકલ ઈમેજીંગ technique છે કે જેમાં Radiology નો યુઝ કરી Body ની Anatomy તથા Physiology મા કોઈ પણ changes થયેલા હોય તો તેને detect કરવા માટે યુઝ થાય છે.
MRI મા srong મેગ્નેટિક ફિલ્ડ , મેગ્નેટિક ફીલ્ડ ગ્રેડિઅન્ટ અને રેડિયોવેવ્સ નો યુઝ કરી બોડી ની ઈમેજ લેવામાં આવે છે.
MRI એ મુખ્યત્વે સ્ટ્રોક, મલ્ટીપલ સ્કલેરોસીસ, ટયુમર, ટ્રોમા, હર્નિએશન, સિઝર, ને ડિટેક્ટ કરવા માટે યુઝ થાય છે.
6) Magnetic Resonance Angiography :=
આ એક પ્રકારની MRI પ્રોસિજર છે કે જેમાં બ્લડ વેસલ્સ ની એબનોર્માંલીટી Assess કરવા માટે યુઝ થાય છે.
Magnetic Resonance Angiography એ લેસ ઇન્વેસિવ હોય છે.
7) Magnetic Resonance Spectroscopy:=
ન્યુક્લિયર મેગ્નેટિક રેસોનેન્સ સ્પેક્ટ્રોસ્કોપી એ નોન ઇન્વેસિવ આયોનાઇઝિંગ રેડીએશન ટેક્નિક છે. તે મુખ્યત્વે બ્રેઇન માં થયેલા ચેન્જીસ અસેસ કરવા માટે યુઝ થાય છે.
તે મુખ્યત્વે સ્ટ્રોક, Alzimer disease, seizure, Sclerosis તથા અધર ડિસિઝ ને Assess કરવા માટે યુઝ થાય છે.
8) Myelography:=
માયલોગ્રાફી એ એક ઇમેજિંગ એક્ઝામિનેશન છે કે જેમાં સ્પાઇનલ કેનાલ માં સ્પાઇનલ નિડલ ને ઇન્સર્ટ કરી અને સ્પાઇનલ કોડ ની રાઉન્ડ માં કોન્ટ્રાક્ટ મીડિયમ નું ઇન્જેક્શન પ્રોવાઇડ કરી કોઈપણ સ્પાઇનલ lesion થયું હોય તો તેને ડિટેક્ટ કરવા માટે યુઝ થાય છે.
9) PET ( Positron Emission Tomography)
આ એક ઇમેજિંગ સ્ટડીઝ છે કે જેમાં રેડિયોએક્ટિવ મટીરીયલ્સ નો યુઝ કરી બ્રેઇન tissues માં injury તથા ડેમેજ થયું હોય તો તેને ડિટેક્ટ કરવા માટે યુઝ થાય છે.
PET એ મુખ્યત્વે Parkinsonism, Tumors, Alziemers તથા Seizure હોય તો તેને અસેસ કરવા માટે યુઝ થાય છે.
10) Single Photon Emission Computed Tomography ( SPECT )
આ ટેસ્ટ મુખ્યત્વે ઇન્ટર્નલ ઓર્ગન ના ફંકશન ને એનાલાઇઝ કરવા માટે યુઝ થાય છે.
આ એક ન્યુક્લિયર ઈમેજિંગ નો ટાઈપ છે તેમાં મુખ્યત્વે રેડિયો એક્ટિવ substance તથા સ્પેશિયલ કેમેરાનો યુઝ કરવામાં આવે છે અને 3d પિક્ચર ક્રિએટ કરવામાં આવે છે અને કોઈપણ એબ્નોરમાંલીટી હોય તો તેને ડિટેક્ટ કરવામાં આવે છે.
11) EEG ( Electroencephalogram)
EEG માં મુખ્યત્વેમાં ઇલેક્ટ્રોડસ ને પ્લેસ કરી અને બ્રેઇન ની ઇલેક્ટ્રિકલ એક્ટિવિટીસ ને Assess કરવામાં આવે છે.
EEG માં મુખ્યત્વે scalp માં ઇલેક્ટ્રોડ ને પ્લેસ કરી અને બ્રેઇન ની ઇલેક્ટ્રિકલ એક્ટિવિટી મા કોઈપણ એબ્નોરમાંલીટી છે કે નહીં તે અસેસ કરવામાં આવે છે તે મુખ્યત્વે સીઝર, સી.એન.એસ. ઈફેક્ટ તથા બ્રેઇન death ને Assess કરવા માટે યુઝ થાય છે.