ANATOMY-UNIT-1-Introduction to anatomical terms and organization of the human body

Unit-1-Introduction to anatomical
terms and organization of the
human body

AS PER INC SYLLABUS

🧠✨ Introduction to Anatomical Terms βœ¨πŸ§β€β™‚οΈ

Anatomy is like a universal language for the human body β€” and just like any language, it has its own vocabulary. This vocabulary helps us describe exactly where something is located in the body, how it relates to other parts, and how it moves. These are called anatomical terms.

Imagine trying to explain where an injury is without a common reference point β€” it would be confusing! That’s why health professionals across the world use a standard system of anatomical terminology to avoid misunderstandings and ensure accuracy.

To make these descriptions consistent, all anatomical terms are based on one agreed-upon posture: the standard anatomical position.

πŸ§β€β™€οΈπŸ” What is the Standard Anatomical Position?

In this position, the person is:

  • Standing upright
  • Facing forward
  • Arms at the sides
  • Palms facing forward
  • Feet slightly apart, pointing straight ahead

This position is used as a frame of reference β€” no matter how the body actually moves, we always refer to it as if it were in this standard pose.

🧭 Why Are Anatomical Terms Important?

Using anatomical terms:

  • Ensures clear communication among healthcare providers
  • Helps in locating organs, bones, and structures accurately
  • Supports diagnosis, surgery, therapy, and medical documentation
  • Avoids confusion in clinical and academic settings

🧩 What Do These Terms Describe?

Anatomical terms describe:

  • Positions (e.g., front, back, above, below)
  • Directions (e.g., toward or away from the midline)
  • Movements (e.g., flexion, extension)
  • Relationships between different parts of the body

πŸ§β€β™‚οΈβœ¨ Anatomical Terms Relative to Position – Explained Simply βœ¨πŸ§β€β™€οΈ

To understand how different parts of the body relate to each other, we use a special set of words called positional or directional terms. These terms help us describe where one part of the body is located in relation to another β€” with accuracy and clarity.

Let’s explore each term step-by-step:

πŸ”Ή Anterior (Ventral)

“Anterior” means toward the front of the body. For example, your chest is on the anterior side.
“Ventral” is another word for front β€” especially used when talking about animals or in embryology.

πŸ“Œ Example: The stomach is anterior to the spine.

πŸ”Ή Posterior (Dorsal)

“Posterior” means toward the back of the body. So, your back, buttocks, and shoulder blades are posterior.
“Dorsal” also refers to the back β€” think of the dorsal fin on a shark’s back.

πŸ“Œ Example: The heart is posterior to the sternum.

πŸ”Ή Superior

“Superior” means above or toward the head. It is used when comparing the vertical position of body parts.

πŸ“Œ Example: The eyes are superior to the mouth.

πŸ”Ή Inferior

“Inferior” means below or toward the feet.

πŸ“Œ Example: The stomach is inferior to the lungs.

πŸ”Ή Median (Midline)

The median is the imaginary vertical line that divides the body into equal left and right halves.
Structures that lie directly on this line are called median structures.

πŸ“Œ Example: The nose lies on the median plane.

πŸ”Ή Lateral

“Lateral” means away from the midline β€” toward the sides of the body.

πŸ“Œ Example: The ears are lateral to the eyes.

πŸ”Ή Medial (optional addition)

“Medial” means closer to the midline of the body.

πŸ“Œ Example: The heart is medial to the lungs.

πŸ”Ή Proximal

“Proximal” means closer to the origin or the point where a limb attaches to the body. Often used for arms and legs.

πŸ“Œ Example: The elbow is proximal to the wrist.

πŸ”Ή Distal

“Distal” is the opposite of proximal β€” it means farther from the point of attachment.

πŸ“Œ Example: The fingers are distal to the shoulder.

πŸ”Ή Superficial

“Superficial” means near the surface of the body.

πŸ“Œ Example: The skin is superficial to the muscles.

πŸ”Ή Deep

“Deep” means further inside the body, away from the surface.

πŸ“Œ Example: The bones are deep to the muscles.

πŸ”Ή Prone

“Prone” refers to the body position where a person is lying face down.

πŸ“Œ Example: In some surgeries, patients are placed in a prone position.

πŸ”Ή Supine

“Supine” is the opposite of prone β€” it means the person is lying face up.

πŸ“Œ Example: During a physical exam, the patient usually lies in a supine position.

πŸ”Ή Palmar

“Palmar” refers to the palm side of the hand (the front when your hand is open).

πŸ“Œ Example: The palmar surface is used when measuring capillary refill.

πŸ”Ή Plantar

“Plantar” refers to the sole of the foot (the bottom part that touches the ground when standing).

πŸ“Œ Example: The plantar surface is often examined in diabetic foot care.

βœ¨πŸ§β€β™‚οΈ Understanding Anatomical Planes – The Body’s 3D Map πŸ§β€β™€οΈβœ¨

When we study the human body, it’s like looking at a building with multiple floors and rooms. To understand it better, we imagine slicing it in different directions. These imaginary cuts or divisions are called anatomical planes β€” and they help us locate, observe, and describe internal structures accurately.

Let’s explore the main anatomical planes one by one:

πŸ”Ή 1. Sagittal Plane (Vertical Plane)

The sagittal plane divides the body into left and right halves.

  • If it divides the body exactly in the middle (equal left and right), it is called the midsagittal or median plane.
  • If the division is off-center (unequal halves), it’s called a parasagittal plane.

πŸ“Œ Imagine drawing a line from your forehead down to your belly button β€” that’s the sagittal plane!

πŸ”Ή 2. Coronal Plane (Frontal Plane)

The coronal or frontal plane divides the body into front (anterior) and back (posterior) sections.

  • It runs vertically from head to toe but cuts the body sideways, like slicing a loaf of bread.

πŸ“Œ If you stand straight and someone slices your body from the side, separating the face from the back of the head β€” that’s the coronal plane!

πŸ”Ή 3. Transverse Plane (Axial or Horizontal Plane)

The transverse, horizontal, or axial plane divides the body into upper (superior) and lower (inferior) parts.

  • It runs parallel to the ground when you’re standing.

πŸ“Œ Imagine a magician sawing a person in half at the waist β€” that’s a transverse plane! It shows what’s above and below.

πŸ”Ή 4. Oblique Plane (Diagonal Plane)

The oblique plane cuts the body at an angle β€” not straight up and down or side to side.

  • It’s a diagonal division that gives a unique view when a straight cut isn’t enough.

πŸ“Œ Used more in imaging and surgical planning, the oblique plane helps visualize organs in tricky angles.

🧠 Why Are These Planes Important?

  • In medical imaging (like CT scans or MRIs), planes help produce cross-sectional views.
  • In surgery, they guide incisions and approaches.
  • In anatomy learning, they help understand the exact location of organs and structures in three-dimensional space.

πŸƒβ€β™‚οΈβœ¨ Human Body Movementsβœ¨πŸƒβ€β™€οΈ

Our body has the ability to move in many ways. These movements occur at joints and are described using specific anatomical terms that ensure precise communication among healthcare professionals. Let’s break down the major types of body movements:

πŸ”Ή 1. Flexion

Flexion refers to bending a joint, which decreases the angle between two body parts.

πŸ“Œ Example: When you bend your elbow or knee, you are performing flexion. Another example is when you tilt your head forward to touch your chin to your chest.

πŸ”Ή 2. Extension

Extension is the opposite of flexion β€” it straightens a joint and increases the angle between two body parts.

πŸ“Œ Example: Straightening your arm after a bicep curl, or standing up straight from a sitting position, involves extension.

πŸ”Ή 3. Abduction

Abduction means moving a body part away from the midline of the body.

πŸ“Œ Example: Lifting your arms sideways away from your body (as in a jumping jack), or spreading your fingers apart.

πŸ”Ή 4. Adduction

Adduction is the movement toward the midline of the body.

πŸ“Œ Example: Bringing your arms back down to your sides after raising them, or bringing your fingers together after spreading them apart.

πŸ”Ή 5. Medial Rotation (Internal Rotation)

Medial rotation refers to turning a body part toward the midline of the body.

πŸ“Œ Example: Turning your arm inward so that your palm faces your body, or rotating your thigh inward when standing.

πŸ”Ή 6. Lateral Rotation (External Rotation)

Lateral rotation is the opposite of medial rotation β€” it involves turning a body part away from the midline.

πŸ“Œ Example: Rotating your arm outward so that your palm faces forward, or rotating your leg outward from the hip.

πŸ”Ή 7. Inversion

Inversion refers to turning the sole of the foot inward toward the other foot.

πŸ“Œ Example: The movement when you “twist” your ankle inward, often seen during ankle sprains.

πŸ”Ή 8. Eversion

Eversion is the opposite of inversion β€” it involves turning the sole of the foot outward, away from the other foot.

πŸ“Œ Example: Standing with the soles of your feet facing outward, or rolling your ankle outward.

πŸ”Ή 9. Supination

Supination refers to rotating the palm upward or forward. This is the position of your hands when holding a bowl of soup!

πŸ“Œ Example: Turning your forearm so your palm faces up, or standing on your heels with your palms facing upward.

πŸ”Ή 10. Pronation

Pronation is the opposite of supination β€” it refers to rotating the palm downward or backward.

πŸ“Œ Example: Flipping your hand so the palm faces down, or rolling your foot outward when walking.

πŸ”Ή 11. Plantar Flexion

Plantar flexion refers to pointing the toes downward, like pressing on a gas pedal.

πŸ“Œ Example: Standing on your tiptoes or pointing your toes while in a seated position.

πŸ”Ή 12. Dorsal Flexion (Dorsiflexion)

Dorsiflexion is the opposite of plantar flexion β€” it involves raising the toes upward toward the shin.

πŸ“Œ Example: Lifting your toes up while keeping your heel on the ground, or when you flex your foot upward during walking.

πŸ”Ή 13. Circumduction

Circumduction is a circular movement that combines flexion, extension, abduction, and adduction, creating a circular or conical motion.

πŸ“Œ Example: Moving your arm in a circle, like when swimming or making large arm circles during exercise.

🧬 Detailed Structure of a Cell 🧬

Cells are the basic building blocks of all living organisms. They are the smallest unit of life, performing essential functions that keep the organism alive. While there are different types of cells (e.g., prokaryotic and eukaryotic), the core components of eukaryotic cells (like human, plant, and animal cells) are quite similar.

1. Cell Membrane (Plasma Membrane)

The cell membrane is the outer boundary of the cell. It is a selectively permeable membrane, meaning it controls the movement of substances into and out of the cell.

  • Structure: Made up of a phospholipid bilayer with embedded proteins. The membrane is fluid, allowing proteins and lipids to move within the layer.
  • Function: It regulates the entry and exit of materials, maintaining homeostasis by controlling which substances can pass through (e.g., nutrients, ions, waste).
  • Key Feature: Fluid Mosaic Model – proteins “float” in a “sea” of lipids.

2. Cytoplasm

The cytoplasm is the jelly-like substance inside the cell, excluding the nucleus. It is where many of the cell’s chemical reactions take place.

  • Structure: Composed of cytosol (a gel-like substance made of water, ions, and proteins) and organelles suspended in it.
  • Function: It helps in transporting materials around the cell, provides a medium for chemical reactions, and supports the structure of the cell.

3. Nucleus

The nucleus is the control center of the cell, where genetic material (DNA) is stored and processed.

  • Structure: Surrounded by the nuclear membrane (also known as the nuclear envelope) with pores that control the exchange of materials between the nucleus and cytoplasm.
  • Function: It contains the genetic material (DNA), which dictates the functions of the cell. The nucleus is also responsible for cell division (mitosis and meiosis) and the transcription of DNA into RNA for protein synthesis.
  • Key Structures:
    • Nucleolus: Found within the nucleus, involved in the production of ribosomal RNA (rRNA).
    • Chromatin: The form of DNA when the cell is not dividing. It condenses to form chromosomes during cell division.

4. Mitochondria

The mitochondria are the powerhouses of the cell, generating energy in the form of ATP (adenosine triphosphate).

  • Structure: Double-membraned organelles with an inner membrane that folds into cristae, increasing surface area for energy production.
  • Function: They generate energy through cellular respiration. Mitochondria are also involved in apoptosis (programmed cell death).
  • Key Feature: Mitochondria have their own DNA and can replicate independently of the cell.

5. Endoplasmic Reticulum (ER)

The endoplasmic reticulum (ER) is a network of membranes involved in protein and lipid synthesis.

  • Structure: There are two types:
    • Rough ER: Studded with ribosomes on its surface, involved in protein synthesis.
    • Smooth ER: Lacks ribosomes and is involved in the synthesis of lipids and detoxification processes.
  • Function:
    • Rough ER: Synthesis of proteins that are secreted from the cell, incorporated into the cell’s membrane, or sent to other organelles.
    • Smooth ER: Synthesis of lipids, metabolism of carbohydrates, and detoxification of harmful chemicals.

6. Golgi Apparatus

The Golgi apparatus is involved in modifying, sorting, and packaging proteins and lipids that are synthesized in the endoplasmic reticulum.

  • Structure: It consists of flattened, membrane-bound sacs called cisternae.
  • Function:
    • Modifies proteins and lipids by adding sugars (glycosylation).
    • Packages these molecules into vesicles that are transported to their destination (e.g., secretion outside the cell or to other organelles).

7. Ribosomes

Ribosomes are the sites of protein synthesis.

  • Structure: They are made up of two subunits (large and small), consisting of rRNA and proteins.
  • Function: They translate genetic information (from mRNA) into proteins by linking amino acids together.
    • Free ribosomes: Floating in the cytoplasm, synthesizing proteins that remain within the cell.
    • Bound ribosomes: Attached to the rough ER, synthesizing proteins that are secreted, incorporated into the cell membrane, or sent to lysosomes.

8. Lysosomes

Lysosomes are membrane-bound organelles that contain digestive enzymes.

  • Structure: They are small, spherical sacs containing enzymes like hydrolases.
  • Function: They break down and recycle macromolecules (proteins, lipids, carbohydrates) and cellular debris. They also play a role in autophagy (self-digestion of damaged organelles) and immune responses (destroying pathogens).

9. Cytoskeleton

The cytoskeleton provides structural support and facilitates cell movement and division.

  • Structure: A network of protein filaments, including:
    • Microtubules: Hollow tubes that help maintain the cell’s shape, allow for intracellular transport, and are involved in cell division (mitotic spindle).
    • Actin Filaments: Thin filaments involved in muscle contraction, cell movement, and shape maintenance.
    • Intermediate Filaments: Provide mechanical strength to the cell.
  • Function:
    • Provides support and shape to the cell.
    • Aids in intracellular transport.
    • Helps with cell division and movement (e.g., muscle contractions, cell crawling).

10. Centrosomes and Centrioles

Centrosomes are regions of the cell that organize microtubules and play a role in cell division.

  • Structure: A centrosome contains a pair of centrioles, which are cylindrical structures made of microtubules.
  • Function: During cell division, the centrosome organizes the spindle fibers that separate the chromosomes.

11. Vacuoles

Vacuoles are storage organelles, mostly found in plant and fungal cells, but also in animal cells.

  • Structure: Membrane-bound sacs that contain a variety of substances (e.g., water, nutrients, waste).
  • Function: In plant cells, vacuoles store water, provide structural support (turgor pressure), and store waste products. In animal cells, vacuoles help in storage and digestion of substances.

12. Cell Wall (in Plant Cells)

The cell wall is a rigid outer layer found in plant cells, fungal cells, and bacteria.

  • Structure: Made up of cellulose (in plants), chitin (in fungi), or peptidoglycan (in bacteria).
  • Function: Provides structural support, protection, and defines the shape of the cell. It also prevents over-expansion of the cell when water enters.

Key Summary:

  • Cell Membrane: Boundary and gatekeeper
  • Nucleus: Control center (DNA storage)
  • Mitochondria: Powerhouse (energy production)
  • Endoplasmic Reticulum: Protein and lipid synthesis
  • Golgi Apparatus: Protein and lipid modification and packaging
  • Ribosomes: Protein synthesis
  • Lysosomes: Cellular waste disposal
  • Cytoskeleton: Structure, movement, and transport
  • Vacuoles: Storage
  • Centrosomes: Cell division

🧬 Cell Division 🧬

1. Types of Cell Division

  • Mitosis: This type of cell division results in two genetically identical daughter cells. Mitosis is used for growth, repair, and asexual reproduction.
  • Meiosis: This type of division results in four genetically unique daughter cells. Meiosis is involved in sexual reproduction and produces gametes (sperm and egg cells in animals, and pollen and ovules in plants).

2. Mitosis: The Process of Somatic Cell Division

Mitosis occurs in somatic cells (non-reproductive cells) and produces two daughter cells with the same number of chromosomes as the parent cell. The stages of mitosis are:

Interphase (Preparation Phase)

Before mitosis begins, the cell goes through interphase, which is the period of growth and DNA replication. Interphase is divided into three stages:

  • G1 (Gap 1): The cell grows in size, synthesizes proteins, and prepares for DNA replication.
  • S (Synthesis Phase): DNA replication occurs. Each chromosome is copied, resulting in two sister chromatids connected by a centromere.
  • G2 (Gap 2): The cell continues to grow and prepares for mitosis. Organelles are replicated, and necessary proteins are synthesized.

Mitosis Stages

  1. Prophase:
    • The chromatin condenses into visible chromosomes.
    • The nuclear envelope begins to break down.
    • Spindle fibers form from the centrosomes (regions of the cytoplasm).
    • Each chromosome consists of two sister chromatids joined at the centromere.
  2. Metaphase:
    • The chromosomes align at the metaphase plate (the center of the cell).
    • The spindle fibers attach to the kinetochores (protein structures) on the centromeres of the chromosomes.
  3. Anaphase:
    • The sister chromatids are pulled apart toward opposite poles of the cell. This is made possible by the shortening of the spindle fibers.
    • Each chromatid is now considered an individual chromosome.
  4. Telophase:
    • The chromosomes begin to de-condense back into chromatin.
    • The nuclear envelope re-forms around each set of chromosomes.
    • The spindle fibers disappear.

Cytokinesis (Final Step)

  • After mitosis, the cytoplasm divides, resulting in two separate daughter cells.
  • In animal cells, a cleavage furrow forms, pinching the cell membrane in two.
  • In plant cells, a cell plate forms between the two daughter cells, which eventually becomes the cell wall.

3. Meiosis: The Process of Gamete Formation

Meiosis occurs in germ cells (cells involved in reproduction), resulting in four non-identical daughter cells, each with half the chromosome number of the original cell. Meiosis is essential for sexual reproduction and introduces genetic variation through crossing-over and independent assortment. Meiosis consists of two rounds of division: Meiosis I and Meiosis II.

Meiosis I: Reduction Division

Meiosis I reduces the chromosome number by half, ensuring that each daughter cell has one copy of each chromosome (haploid).

  1. Prophase I:
    • Chromosomes condense, and homologous chromosomes (chromosomes that have the same genes but possibly different versions, or alleles) pair up.
    • Crossing-over occurs: Homologous chromosomes exchange genetic material, leading to genetic diversity.
    • The nuclear envelope dissolves, and spindle fibers form.
  2. Metaphase I:
    • The homologous chromosome pairs align at the metaphase plate.
    • The spindle fibers attach to the kinetochores of each chromosome.
  3. Anaphase I:
    • The homologous chromosomes are separated and pulled to opposite poles of the cell. Sister chromatids remain attached at this stage.
  4. Telophase I:
    • The separated chromosomes reach the poles, and the nuclear envelope re-forms.
    • The cell undergoes cytokinesis, dividing into two daughter cells, each with half the original chromosome number (haploid).

Meiosis II: Equational Division

Meiosis II resembles mitosis but occurs in haploid cells, with the goal of separating sister chromatids.

  1. Prophase II:
    • Chromosomes condense again, and a new spindle apparatus forms in each of the two daughter cells.
  2. Metaphase II:
    • Chromosomes align at the metaphase plate in both cells.
  3. Anaphase II:
    • The sister chromatids are pulled apart to opposite poles of the cell.
  4. Telophase II:
    • The chromosomes reach the poles, and the nuclear envelope reforms around each set of chromosomes.
    • The two daughter cells from meiosis I divide again through cytokinesis, resulting in a total of four genetically unique daughter cells, each with half the chromosome number of the original cell.

4. Comparison Between Mitosis and Meiosis

FeatureMitosisMeiosis
PurposeGrowth, repair, and asexual reproductionSexual reproduction (gamete formation)
Number of DivisionsOne (prophase, metaphase, anaphase, telophase)Two (Meiosis I and Meiosis II)
Chromosome NumberSame as the parent cell (diploid β†’ diploid)Half of the parent cell (diploid β†’ haploid)
Daughter CellsTwo identical cellsFour non-identical cells
Genetic VariationNo (cells are genetically identical)Yes (due to crossing-over and independent assortment)
Crossing-OverDoes not occurOccurs during prophase I

5. Importance of Cell Division

  • Mitosis is essential for growth, tissue repair, and asexual reproduction, allowing organisms to maintain an appropriate number of cells.
  • Meiosis introduces genetic diversity, which is crucial for evolution and the survival of species in changing environments. It ensures that offspring have a unique combination of genes from both parents, leading to variation in traits.

Key Summary:

  • Mitosis produces two identical diploid cells used for growth and repair.
  • Meiosis produces four genetically diverse haploid cells (gametes) for sexual reproduction.
  • Both processes are essential for life, ensuring proper growth, development, and genetic diversity.

🌟 Tissues: The Building Blocks of the Body! 🌟

Imagine your body as a giant mansion – everything from the walls to the floors to the windows has a specific purpose and helps the house function properly. Just like that, your body is made up of tissues – groups of specialized cells that work together to carry out essential functions. Whether it’s moving, protecting, or communicating, tissues are the unsung heroes that keep everything running smoothly.

What is a Tissue? πŸ€”

A tissue is a group of similar cells that come together to perform a specific function. In the body, tissues form the framework for organs, provide protection, and help carry out vital tasks. There are four main types of tissues, each with its unique characteristics and responsibilities.

1. Epithelial Tissue: The Protective Shield πŸ›‘οΈ

Epithelial tissue is like the armor of your body. It forms barriers and linings all over your body, protecting your internal organs and regulating what enters and exits your body. It covers your skin, lines your digestive system, and even forms the membranes of organs.

  • Job: Protection, absorption, secretion
  • Where it’s found: Skin, lining of the digestive tract, lungs, and blood vessels.
  • Fun Fact: It regenerates quickly – just like how your skin heals after a cut!

2. Connective Tissue: The Support Team πŸ’ͺ

Think of connective tissue as the skeleton or glue that holds your body together. It provides structure, supports organs, and connects different parts of your body. Whether it’s bone, blood, or fat, connective tissue plays a crucial role in maintaining the integrity of the body.

  • Job: Support, transport, insulation
  • Where it’s found: Bones, blood, adipose tissue (fat), tendons, ligaments
  • Fun Fact: The hardest tissue in your body, bone, is a type of connective tissue!

3. Muscle Tissue: The Movers and Shakers πŸ’ƒπŸ•Ί

Muscle tissue is your body’s engine. It allows you to move, whether you’re walking, typing, or even breathing. Muscle tissue contracts and relaxes to generate force. There are three types of muscle tissue, each responsible for different movements in your body.

  • Job: Movement (voluntary and involuntary)
  • Where it’s found: Attached to bones (skeletal muscles), in the heart (cardiac muscle), and in the walls of organs (smooth muscle)
  • Fun Fact: Cardiac muscle doesn’t get tired – your heart beats nonstop for your entire life!

4. Nervous Tissue: The Body’s Communication Network 🧠

Nervous tissue is like the information highway of your body. It allows your brain to send signals to other parts of the body. Nervous tissue makes up your brain, spinal cord, and nerves, helping you to think, feel, and move. It is responsible for controlling all body functions by transmitting electrical signals.

  • Job: Communication, coordination, control
  • Where it’s found: Brain, spinal cord, nerves
  • Fun Fact: Your brain alone contains over 86 billion neurons that help you process thoughts, memories, and senses!

🌈 Summary: The Four Tissue Types

  • Epithelial Tissue = The Protective Shield πŸ›‘οΈ
  • Connective Tissue = The Support Team πŸ’ͺ
  • Muscle Tissue = The Movers and Shakers πŸ’ƒπŸ•Ί
  • Nervous Tissue = The Communication Network 🧠

Together, these tissues form the foundation of your body, ensuring that all parts work in harmony. From moving and thinking to protecting and supporting, tissues are the unsung heroes of every action you perform.

🌟 Epithelial Tissue: The Protective Shield of Your Body! πŸ›‘οΈ

Epithelial tissue is like the armor and lining of your body. It covers the external surfaces, lines cavities, and even forms glands. Its job is to protect the body, absorb nutrients, and secrete substances. Think of it as the body’s protective covering and barrier.

Characteristics of Epithelial Tissue 🌟

Epithelial tissue is specialized for its function of protection, absorption, and secretion. Here are its key characteristics:

  1. Cellularity:
    Epithelial tissue is made up of closely packed cells with minimal extracellular material. These cells are tight and form a continuous sheet.
  2. Polarity:
    Epithelial cells have two distinct surfaces:
    • Apical surface (exposed to the environment or a lumen)
    • Basal surface (attached to the underlying tissue via a basement membrane)
  3. Avascularity:
    Epithelial tissue lacks blood vessels. Instead, it relies on diffusion from nearby blood vessels in the underlying connective tissue for nutrients and oxygen.
  4. Regeneration:
    Epithelial cells have an incredibly high rate of division and regeneration. This makes them great at repairing and replacing damaged cells quickly.
  5. Attachment:
    Epithelial cells are anchored to a basement membrane, which provides structural support and allows them to stay in place.

Classification of Epithelial Tissue 🧩

Epithelial tissue can be classified based on two key features: the number of cell layers and the shape of the cells.

1. By Number of Cell Layers:

  • Simple Epithelium:
    One single layer of cells. Found in areas where absorption, filtration, and secretion occur, as it allows easy passage of materials.
    • Example: Lining of the lungs (gas exchange), blood vessels (nutrient exchange).
  • Stratified Epithelium:
    Multiple layers of cells, offering protection. The deeper layers regenerate to replace the surface layers.
    • Example: Skin (epidermis), mouth lining, esophagus (protection against abrasion).
  • Pseudostratified Epithelium:
    Appears to have multiple layers due to uneven cell heights, but all cells touch the basement membrane. Often associated with cilia.
    • Example: Respiratory tract (trachea, bronchi) – helps move mucus and trapped particles.

2. By Shape of Cells:

  • Squamous Epithelium:
    Cells are flat and thin, allowing for the rapid diffusion of materials.
    • Example: Alveoli in the lungs, blood vessel linings.
  • Cuboidal Epithelium:
    Cells are cube-shaped, providing a good structure for secretion and absorption.
    • Example: Kidney tubules, glandular ducts.
  • Columnar Epithelium:
    Cells are tall and rectangular, providing a strong lining for secretion and absorption.
    • Example: Digestive tract lining (stomach and intestines), uterine lining.
  • Transitional Epithelium:
    This tissue can stretch and change shape as it adapts to changes in the organ it lines.
    • Example: Bladder lining, ureters (stretches when the bladder fills).

Location of Epithelial Tissue 🌍

Epithelial tissue is found all over the body, from the outer surface to the lining of organs and body cavities. Here are some key locations:

  1. Skin:
    The epidermis is a stratified squamous epithelium that provides a waterproof, protective barrier against environmental damage.
  2. Lining of the Digestive Tract:
    The simple columnar epithelium in the digestive tract absorbs nutrients and secretes digestive enzymes and mucus.
  3. Lungs and Blood Vessels:
    Simple squamous epithelium forms the thin lining of the alveoli in the lungs and the endothelium in blood vessels, facilitating the exchange of gases and nutrients.
  4. Kidneys:
    Simple cuboidal epithelium lines the kidney tubules, where filtration and reabsorption occur.
  5. Respiratory Tract:
    Pseudostratified ciliated columnar epithelium lines the trachea and bronchi, moving mucus and trapped particles out of the airways.
  6. Bladder:
    Transitional epithelium lines the bladder and ureters, allowing them to stretch as the bladder fills with urine.

Fun Fact:

Epithelial tissue is constantly regenerating, so the cells in your skin or digestive tract are being replaced constantly. In fact, the skin’s epidermis is replaced about every 28 days!

Summary:

Epithelial tissue is like the body’s protective armor! It covers and lines various surfaces and cavities, ensuring that your body stays safe, absorbs nutrients, and excretes waste. Whether it’s the skin, lungs, or digestive system, epithelial tissue is crucial for maintaining proper function and health.

🌟 Connective Tissue: The Body’s Support System! 🌟

Imagine your body as a house, and just like a house needs a sturdy foundation and framework, your body needs connective tissue to provide support, structure, and connection between different parts. Connective tissue is the body’s internal scaffold, keeping everything in place and ensuring that all the other systems work together harmoniously.

1. Definition of Connective Tissue

Connective tissue is one of the four primary tissue types in the body. It provides support, structure, protection, and nutrient transport for various organs and tissues. Connective tissue is made up of cells, fibers, and a ground substance that together form the extracellular matrix. This matrix is unique to each type of connective tissue and determines its function.

2. Characteristics of Connective Tissue 🌟

  • Diverse in Structure: Connective tissue is the most diverse tissue in the body. It can range from fluid (blood) to solid (bone), providing varying levels of support.
  • Cellular Components: Contains various cell types such as fibroblasts, adipocytes (fat cells), macrophages, and mast cells.
  • Extracellular Matrix: The matrix consists of fibers (collagen, elastin) and a ground substance (a gel-like material or liquid) that provide structural support and help the tissue perform its function.
  • Vascularity: Connective tissue has varying levels of vascularity. Some, like bone, are highly vascular, while others, like cartilage, are avascular (lacking blood vessels).
  • Supportive Role: It acts as a structural framework for organs and tissues, as well as a medium for the transport of nutrients, gases, and waste.

3. Types of Connective Tissue πŸ’ͺ

Connective tissue can be divided into several categories, based on structure, function, and composition.

1. Connective Tissue Proper

  • Loose Connective Tissue:
    • Characteristics: Contains fewer fibers and more ground substance. It is flexible and supports organs and tissues.
    • Types:
      • Areolar Tissue: Most common type; it acts as a packing material, filling spaces and holding organs in place.
      • Adipose Tissue: Stores fat, providing energy, insulation, and cushioning for organs.
      • Reticular Tissue: Forms a framework for organs like the liver and spleen, where it supports other tissues.
    • Location: Beneath the skin, around organs, and in mucous membranes.
  • Dense Connective Tissue:
    • Characteristics: Contains more collagen fibers, making it strong and supportive.
    • Types:
      • Dense Regular Connective Tissue: Fibers run in parallel, providing tensile strength. Found in tendons and ligaments.
      • Dense Irregular Connective Tissue: Fibers are arranged irregularly, providing strength in multiple directions. Found in the dermis of the skin.
      • Elastic Tissue: Contains elastic fibers, providing flexibility. Found in the walls of arteries and the lungs.
    • Location: Tendons, ligaments, dermis of skin, walls of arteries.

2. Specialized Connective Tissue

  • Cartilage:
    • Characteristics: Provides support and flexibility, with a smooth, rubbery matrix.
    • Types:
      • Hyaline Cartilage: Smooth and glassy; found in joints, ribs, nose, and trachea.
      • Elastic Cartilage: Contains more elastic fibers, making it flexible. Found in the ear and epiglottis.
      • Fibrocartilage: Contains thick collagen fibers, making it tough and durable. Found in intervertebral discs and the pubic symphysis.
    • Location: Joints, nose, ears, intervertebral discs, pubic symphysis.
  • Bone (Osseous Tissue):
    • Characteristics: Hard and rigid tissue due to the deposition of calcium salts in the extracellular matrix. It provides structure, support, and protection for the body.
    • Types:
      • Compact Bone: Dense and forms the outer layer of bones.
      • Spongy Bone: Lighter and found inside bones, filled with bone marrow.
    • Location: In the skeleton, including the femur, vertebrae, and ribs.
  • Blood:
    • Characteristics: A fluid tissue that transports nutrients, oxygen, and waste products throughout the body. It contains cells suspended in plasma.
    • Types:
      • Red Blood Cells (RBCs): Transport oxygen.
      • White Blood Cells (WBCs): Fight infection.
      • Platelets: Involved in blood clotting.
    • Location: Circulates through blood vessels and lymphatic system.

4. Classification of Connective Tissue πŸ“Š

Connective tissue is classified into two main groups based on its composition:

1. Connective Tissue Proper

  • Loose Connective Tissue (e.g., areolar, adipose, reticular)
  • Dense Connective Tissue (e.g., regular, irregular, elastic)

2. Specialized Connective Tissue

  • Cartilage (hyaline, elastic, fibrocartilage)
  • Bone (compact bone, spongy bone)
  • Blood

5. Location of Connective Tissue 🌍

Connective tissue is everywhere in your body, providing structure, protection, and connection:

  • Loose Connective Tissue is found under the skin, around organs, and in mucous membranes, where it serves as a cushion and support.
  • Dense Connective Tissue forms the strong, fibrous tissues of tendons (connect muscles to bones) and ligaments (connect bones to other bones).
  • Cartilage is found in areas needing flexibility and support, like joints, nose, ears, and the trachea.
  • Bone is the hard framework that gives structure to the body, protecting internal organs and providing a place for muscles to attach.
  • Blood circulates through the blood vessels, transporting oxygen, nutrients, and waste products.

Fun Fact:

Adipose tissue (fat) is a type of connective tissue that stores energy and helps insulate your body to regulate temperature. In fact, it can store up to 20 times its weight in fat!

  • Connective tissue is crucial for providing structure, support, and protection.
  • It comes in several types: Loose (flexible), Dense (strong), Cartilage (supportive), Bone (structural), and Blood (transport).
  • It’s found throughout the body: under the skin, around organs, in bones, joints, and blood vessels.

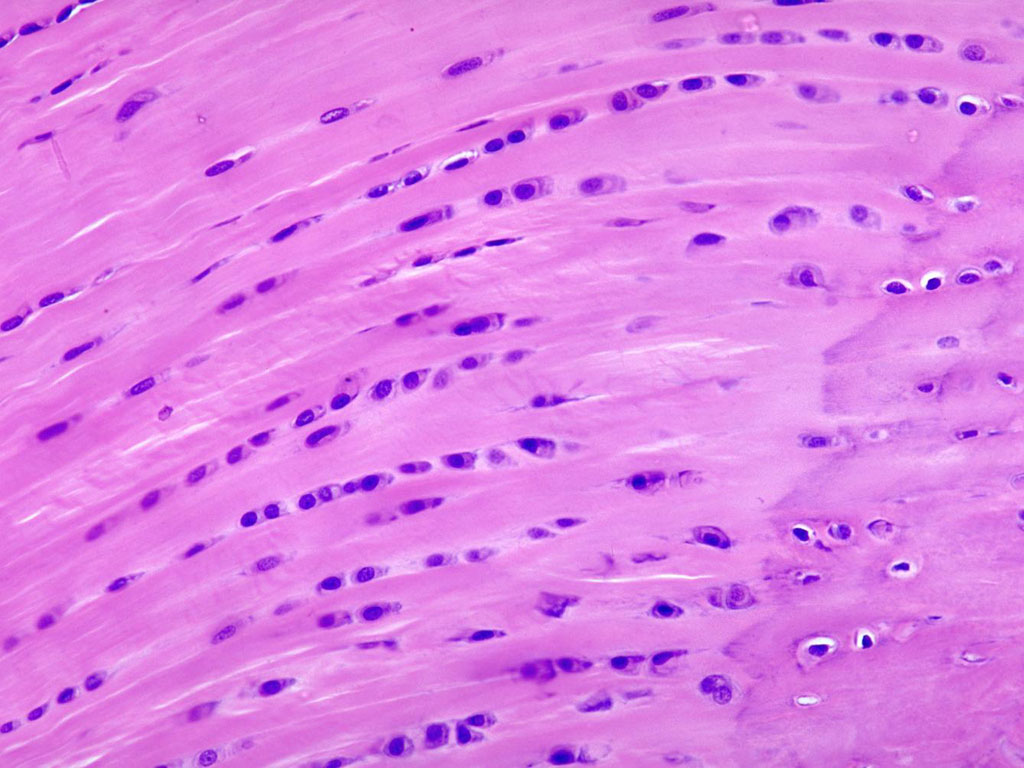
πŸ’ͺ Muscle Tissue: The Body’s Movers! πŸ’ͺ

Muscle tissue is essential for all movement in the body, from voluntary actions like running to involuntary actions like breathing. It is composed of muscle cells (also called muscle fibers) that contract and relax to generate force. Whether you’re flexing a muscle or your heart is beating, muscle tissue is the powerhouse behind it all!

1. Definition of Muscle Tissue

Muscle tissue is a type of tissue that is specialized for contraction and movement. It is responsible for generating force and movement, both in the body and within internal organs. Muscle tissue can be classified into three types based on structure and function: skeletal muscle, cardiac muscle, and smooth muscle.

2. Characteristics of Muscle Tissue 🌟

  • Excitability (Responsiveness): Muscle tissue can respond to stimuli, typically electrical signals from nerve cells, causing it to contract.
  • Contractility: Muscle tissue can shorten and generate force, which is the hallmark of all muscle movement.
  • Elasticity: After contracting or stretching, muscle tissue can return to its original shape.
  • Extensibility: Muscle tissue can be stretched without damage, allowing for normal movement and flexibility.
  • Vascularity: Muscle tissue has a rich blood supply to meet the high energy demands needed for contraction.

3. Types of Muscle Tissue πŸ’₯

Muscle tissue is classified into three distinct types based on structure, function, and location:

1. Skeletal Muscle

  • Structure:
    • Striated (striped appearance) due to the arrangement of actin and myosin filaments.
    • Multinucleated (multiple nuclei per cell).
    • Long, cylindrical fibers.
  • Control:
    • Voluntary control (conscious control over contraction).
  • Function:
    • Responsible for voluntary movements such as walking, lifting, and facial expressions.
  • Location:
    • Attached to bones of the skeleton.
    • Found in muscles like biceps, quadriceps, trapezius, and diaphragm.

2. Cardiac Muscle

  • Structure:
    • Striated, similar to skeletal muscle, but the fibers are branched and connected by intercalated discs (specialized connections between cells).
    • Single central nucleus per cell.
  • Control:
    • Involuntary control (controlled by the autonomic nervous system and hormones).
  • Function:
    • Responsible for the contraction of the heart to pump blood.
  • Location:
    • Found only in the heart (myocardium).

3. Smooth Muscle

  • Structure:
    • Non-striated, smooth fibers with a spindle shape.
    • Single central nucleus per cell.
  • Control:
    • Involuntary control (regulated by the autonomic nervous system, hormones, and local stimuli).
  • Function:
    • Responsible for the movement of internal organs like the intestines, blood vessels, and the bladder.
  • Location:
    • Found in walls of hollow organs, such as:
      • Intestines (digestive system)
      • Bladder
      • Blood vessels (arteries and veins)
      • Uterus

4. Classification of Muscle Tissue

Muscle tissue is classified based on the structure and function into the following categories:

1. Voluntary Muscle Tissue

  • Skeletal muscle is the only muscle tissue that is under conscious control (voluntary). These muscles allow for movement of the body and facial expressions.

2. Involuntary Muscle Tissue

  • Cardiac muscle and smooth muscle are both under involuntary control, meaning they operate automatically without conscious effort.
    • Cardiac muscle controls the heartbeat.
    • Smooth muscle controls movements in internal organs, such as digestion, blood flow, and respiratory functions.

5. Location of Muscle Tissue 🌍

Muscle tissue is located throughout the body, each type having its own specialized function and location:

  • Skeletal Muscle:
    • Found attached to bones throughout the body. For example:
      • Arms: Biceps, triceps
      • Legs: Quadriceps, hamstrings
      • Core: Abdominal muscles (rectus abdominis, obliques)
  • Cardiac Muscle:
    • Found only in the heart. It forms the myocardium and is responsible for pumping blood through the circulatory system.
  • Smooth Muscle:
    • Found in the walls of hollow organs and structures that require movement without conscious control. Examples include:
      • Digestive system (e.g., intestines, stomach)
      • Blood vessels (to regulate blood flow)
      • Urinary system (e.g., bladder, ureters)
      • Reproductive organs (e.g., uterus, fallopian tubes)

6. Summary:

Muscle TypeStriationNucleusControlLocationFunction
Skeletal MuscleStriated (striped)MultinucleatedVoluntary (conscious)Attached to bones (e.g., biceps, quadriceps)Movement of body parts, facial expressions
Cardiac MuscleStriated (striped)Single nucleusInvoluntary (automatic)Heart (myocardium)Pumps blood through the heart and vessels
Smooth MuscleNon-striated (smooth)Single nucleusInvoluntary (automatic)Walls of hollow organs (e.g., intestines, blood vessels)Moves substances within organs (digestion, blood flow)

Fun Fact:

Did you know that your heart beats about 100,000 times a day? That’s thanks to cardiac muscle, which works tirelessly to pump blood and keep you alive!

🧠 Nervous Tissue: The Body’s Communication Network 🧠

Nervous tissue is essential for communication, coordination, and control of body functions. It enables the brain to communicate with the rest of the body, allowing us to sense our environment, make decisions, and respond to stimuli. Think of it as the body’s electrical system, transmitting signals to ensure everything works in harmony.

1. Definition of Nervous Tissue

Nervous tissue is composed of specialized cells called neurons (nerve cells) and neuroglia (supporting cells). It forms the brain, spinal cord, and nerves, and is responsible for transmitting electrical impulses throughout the body. These impulses allow for the processing of information and the coordination of body activities.

2. Characteristics of Nervous Tissue 🌟

  • Excitability: Nervous tissue can respond to stimuli by generating electrical signals (action potentials).
  • Conductivity: It can transmit electrical impulses across long distances within the body, ensuring communication between different parts.
  • Specialized Cells: Contains two types of cells:
    • Neurons: Specialized for signal transmission.
    • Neuroglia: Support neurons, protect them, and maintain homeostasis in the nervous system.
  • Structure: Nervous tissue is made up of cells that are highly specialized for sending and receiving electrical signals. Neurons have long axons that carry signals, while dendrites receive signals from other neurons or stimuli.

3. Types of Nervous Tissue 🧩

Nervous tissue consists of two main components: neurons and neuroglia (glial cells).

1. Neurons (Nerve Cells)

Neurons are the functional units of the nervous system, responsible for transmitting electrical impulses. They can be classified into three types based on their function:

  • Sensory Neurons (Afferent Neurons):
    These neurons carry sensory information from sensory receptors (such as the skin or eyes) to the central nervous system (CNS) (brain and spinal cord).
  • Motor Neurons (Efferent Neurons):
    These neurons carry signals from the CNS to muscles and glands, stimulating movement or secretion.
  • Interneurons (Association Neurons):
    Located only in the CNS, these neurons connect sensory and motor neurons. They process information and relay signals within the brain and spinal cord.
Structure of Neurons:
  • Cell Body (Soma): Contains the nucleus and other organelles. It processes the incoming signals.
  • Dendrites: Branched extensions that receive signals from other neurons or sensory receptors.
  • Axon: A long, slender projection that transmits electrical impulses away from the cell body to other neurons, muscles, or glands. Axons can be myelinated or unmyelinated, with myelinated axons being faster in impulse transmission.

2. Neuroglia (Glial Cells)

Neuroglia are supporting cells that maintain the homeostasis of the nervous system and assist neurons. They outnumber neurons by about 10 to 1 and perform vital functions such as protection, nourishment, and insulation for neurons.

There are several types of neuroglia, which vary depending on whether the tissue is part of the CNS (central nervous system) or PNS (peripheral nervous system):

  • Astrocytes (CNS): Support neurons and maintain the blood-brain barrier, which protects the brain from harmful substances.
  • Oligodendrocytes (CNS): Form the myelin sheath around axons in the CNS, speeding up the transmission of electrical signals.
  • Microglia (CNS): Act as the immune cells of the CNS, removing dead cells and pathogens.
  • Ependymal Cells (CNS): Line the cavities of the brain and spinal cord, helping circulate cerebrospinal fluid.
  • Schwann Cells (PNS): Form the myelin sheath around axons in the PNS, similar to oligodendrocytes in the CNS.
  • Satellite Cells (PNS): Surround neuron cell bodies in ganglia, providing support and nutrient exchange.

4. Classification of Nervous Tissue 🏷️

Nervous tissue can be classified based on the location and structure of the cells.

1. Central Nervous System (CNS)

  • Includes the brain and spinal cord.
  • Contains both neurons (responsible for transmitting impulses) and neuroglia (supporting and protecting neurons).

2. Peripheral Nervous System (PNS)

  • Composed of nerves and ganglia that exist outside of the brain and spinal cord.
  • Nerves carry sensory and motor signals to and from the CNS.
  • Ganglia are clusters of nerve cell bodies located outside the CNS.

5. Location of Nervous Tissue 🌍

Nervous tissue is found throughout the central and peripheral nervous systems:

  • Central Nervous System (CNS):
    • Brain: The control center of the body that processes sensory information, thoughts, emotions, memory, and coordination of movement.
    • Spinal Cord: Transmits electrical signals between the brain and the rest of the body. It also coordinates reflex actions.
  • Peripheral Nervous System (PNS):
    • Nerves: Extend from the spinal cord and brain to the limbs and organs. Nerves are classified as sensory (afferent) or motor (efferent), depending on whether they transmit information toward or away from the CNS.
    • Ganglia: Clusters of neuron cell bodies found outside the CNS, involved in processing and relaying information.

6. Summary:

FeatureNeuronsNeuroglia
FunctionTransmit electrical impulsesSupport, protect, and nourish neurons
StructureCell body, dendrites, axonsGlial cells like astrocytes, oligodendrocytes
LocationBrain, spinal cord, nervesCNS and PNS (supporting neurons)

Fun Fact:

Did you know that your brain contains about 100 billion neurons? These neurons are constantly transmitting electrical signals that control every thought, movement, and sensation you experience!

🏞️ Membranes: The Body’s Protective Barriers and Linings 🏞️

Membranes are essential structures in the body that form barriers, linings, and protective layers. They separate different body compartments, support organs, and facilitate various physiological processes. Membranes are found in nearly every part of the body, from the skin to the lining of internal organs. They are made up of epithelial tissue and a connective tissue layer, with varying structures depending on their function.

1. Classification of Membranes

There are two major types of membranes in the body based on their structure and function:

1.1. Epithelial Membranes 🏠

These are composed of epithelial tissue attached to a connective tissue layer. They act as linings or coverings for body surfaces and cavities. Epithelial membranes are classified into three main types:

  • Mucous Membranes (Mucosa)
    • Structure: These membranes consist of epithelial tissue (often columnar or squamous epithelium) and an underlying lamina propria (connective tissue).
    • Function: Mucous membranes line body cavities that open to the exterior, such as the digestive tract, respiratory system, urinary tract, and reproductive system. They secrete mucus to protect and moisten the membranes and trap foreign particles.
    • Location: Found in the mouth, esophagus, stomach, intestines, lungs, urinary system, and reproductive organs.
  • Serous Membranes (Serosa)
    • Structure: Composed of simple squamous epithelium (mesothelium) and a thin layer of connective tissue. They secrete serous fluid (a watery, lubricating substance).
    • Function: Serous membranes line cavities that are not exposed to the outside (i.e., they do not open to the exterior). They produce serous fluid to lubricate organs, reducing friction between them during movement.
    • Location: Found in the pleura (lining of the lungs), pericardium (heart cavity), and peritoneum (abdominal cavity).
  • Cutaneous Membrane
    • Structure: The skin is the cutaneous membrane. It consists of epidermis (epithelial layer) and dermis (connective tissue layer).
    • Function: The skin protects the body from environmental damage, regulates temperature, and prevents dehydration. It also plays a role in sensation and excretion.
    • Location: Skin, the outermost layer of the body.

1.2. Synovial Membranes 🦡

  • Structure: Unlike epithelial membranes, synovial membranes are made of connective tissue only, with no epithelial layer. They consist of a synovial lining (fibrous connective tissue) and loose connective tissue.
  • Function: Synovial membranes line the cavities of freely movable joints. They secrete synovial fluid that lubricates the joints, reducing friction between the bones.
  • Location: Found in joints such as the knee, elbow, hip, and shoulder.

2. Structure of Membranes

The structure of membranes varies depending on their function, but they all share a basic organization of two main components: an epithelial layer and a connective tissue layer. Let’s take a closer look:

2.1. Epithelial Layer πŸ—οΈ

The epithelial layer serves as the covering or lining of the membrane. This layer varies based on the type of membrane:

  • Mucous Membranes: The epithelial layer is often columnar or squamous epithelium that is adapted to secrete mucus. The surface may be ciliated (e.g., in the respiratory tract) or non-ciliated (e.g., in the digestive tract).
  • Serous Membranes: Composed of simple squamous epithelium (mesothelium), this layer is very thin and smooth to allow for easy movement and lubrication.
  • Cutaneous Membranes: The outermost layer, the epidermis, is keratinized stratified squamous epithelium, which helps in protecting the body and preventing water loss.
  • Synovial Membranes: There is no epithelial layer here, only a loose connective tissue layer.

2.2. Connective Tissue Layer 🌱

The connective tissue layer provides structural support and nutrient exchange for the epithelial layer. The nature of the connective tissue can vary:

  • Mucous Membranes: The connective tissue is typically areolar connective tissue called lamina propria, which supports the epithelial layer and allows for nutrient exchange.
  • Serous Membranes: The connective tissue layer is loose connective tissue, often made of areolar tissue and adipose tissue. This provides structural support and flexibility, while also allowing the secretion of serous fluid.
  • Cutaneous Membranes: The dermis is the connective tissue layer beneath the epidermis, consisting of dense irregular connective tissue and collagen fibers that provide strength and elasticity to the skin.
  • Synovial Membranes: The connective tissue layer is rich in fibrous tissue and elastic fibers, which help the membrane stretch and absorb shock at joints.

3. Summary: Membranes in the Body

Type of MembraneStructureFunctionLocation
Mucous MembraneEpithelial tissue (columnar or squamous) + lamina propria (connective tissue)Protection, secretion, absorption, lubricationDigestive tract, respiratory tract, urinary tract
Serous MembraneSimple squamous epithelium (mesothelium) + loose connective tissueLubrication of organs, reducing frictionLungs (pleura), heart (pericardium), abdominal organs (peritoneum)
Cutaneous Membrane (Skin)Stratified squamous epithelium (epidermis) + dense connective tissue (dermis)Protection, temperature regulation, sensationSkin (entire outer surface of the body)
Synovial MembraneConnective tissue only (no epithelial layer)Secretion of synovial fluid for joint lubricationJoints (e.g., knee, elbow, hip, shoulder)

Fun Fact:

Did you know that mucous membranes in the digestive system help protect the internal lining from harsh digestive enzymes while also aiding in the absorption of nutrients?

πŸ₯ Glands: The Body’s Secret Factories πŸ₯

Glands are specialized structures in the body responsible for secreting substances like hormones, enzymes, and fluids. They play crucial roles in maintaining bodily functions, regulating metabolism, and supporting the body’s immune system. Glands can either secrete their products into ducts (exocrine glands) or directly into the bloodstream (endocrine glands).

1. Classification of Glands

Glands are classified into two main categories based on their method of secretion and structure: Exocrine Glands and Endocrine Glands.

1.1. Exocrine Glands 🧴

Exocrine glands secrete their products into ducts, which carry the secretion to the surface of an organ or to a body cavity. These glands are involved in a variety of functions, including digestion, lubrication, and protection.

  • Method of Secretion: Secrete substances through ducts to an external surface (e.g., skin) or internal body cavities (e.g., digestive tract).
  • Examples:
    • Salivary Glands: Secrete saliva into the mouth to aid in digestion.
    • Sweat Glands: Release sweat to regulate body temperature and remove waste products.
    • Mammary Glands: Produce milk in females for nourishing offspring.
    • Sebaceous Glands: Secrete sebum (oil) into hair follicles to lubricate the skin.
    • Pancreas (Exocrine part): Secretes digestive enzymes into the small intestine.
Types of Exocrine Glands:
  • Merocrine (Eccrine) Glands: Secrete their products via exocytosis (no cell loss). Example: Sweat glands.
  • Apocrine Glands: Secrete a part of the cell along with the product. Example: Mammary glands.
  • Holocrine Glands: Entire cells are lost during secretion. Example: Sebaceous glands.

1.2. Endocrine Glands ⚑

Endocrine glands secrete their products, hormones, directly into the bloodstream without the use of ducts. These glands regulate metabolism, growth, reproduction, and mood.

  • Method of Secretion: Hormones are released directly into the interstitial fluid and then enter the bloodstream to reach target organs.
  • Examples:
    • Thyroid Gland: Produces hormones (T3, T4) that regulate metabolism.
    • Pituitary Gland: Produces hormones that control other endocrine glands.
    • Adrenal Glands: Produce cortisol, adrenaline, and aldosterone.
    • Pancreas (Endocrine part): Secretes insulin and glucagon into the bloodstream to regulate blood sugar.
Types of Endocrine Glands:
  • Single-cell Endocrine Glands: Found in the epithelial lining of organs such as the stomach and intestines. They secrete hormones like gastrin.
  • Multicellular Endocrine Glands: Larger structures like the thyroid and pituitary glands.

2. Structure of Glands

Glands can vary widely in their structure depending on their function and whether they are endocrine or exocrine. Here’s a breakdown:

2.1. Exocrine Gland Structure

Exocrine glands are classified by the structure of their ducts and the type of secretory units (glandular cells).

Based on Duct Structure:
  • Simple Glands: A single, unbranched duct.
    • Example: Simple tubular glands like the intestinal glands.
  • Compound Glands: Branched ducts that lead to several secretory units.
    • Example: Salivary glands, pancreas.
Based on Secretory Units:
  • Tubular Glands: Have a tube-like shape for the secretory units.
    • Example: Sweat glands.
  • Alveolar (Acinar) Glands: Have sac-like secretory units.
    • Example: Sebaceous glands.
  • Tubuloalveolar Glands: Have both tubular and sac-like units.
    • Example: Mammary glands.

2.2. Endocrine Gland Structure

Endocrine glands have a different structure since they secrete directly into the bloodstream.

  • Structure: Endocrine glands typically consist of clusters of cells arranged in cords or clusters, surrounded by a rich blood supply.
  • Example: The thyroid gland is made up of small, spherical follicles filled with a colloid substance where thyroid hormones are produced.
  • Capillary Network: Endocrine glands have a dense network of capillaries (tiny blood vessels) to facilitate the rapid exchange of hormones into the bloodstream.

3. Function of Glands

  • Exocrine Glands:
    Their function is to secrete substances (such as enzymes, sweat, mucus) onto an external surface or into body cavities via ducts.
    • Examples of functions:
      • Salivary glands secrete enzymes to start the digestion of food.
      • Sweat glands regulate body temperature and excrete waste products like urea.
      • Mammary glands secrete milk to nourish newborns.
  • Endocrine Glands:
    These glands produce hormones that regulate various physiological processes like growth, metabolism, and reproductive functions.
    • Examples of functions:
      • Thyroid gland regulates metabolism through the secretion of thyroid hormones.
      • Adrenal glands release cortisol and adrenaline during stress responses.
      • Pancreas regulates blood sugar by secreting insulin and glucagon.

4. Summary of Gland Classification and Structure

Type of GlandSecretion MethodStructureExamples
Exocrine GlandsSecretes through ductsDucts + secretory units (tubular, acinar, or tubuloalveolar)Salivary glands, sweat glands, mammary glands
Endocrine GlandsSecretes directly into bloodstreamNo ducts; clusters of cells with rich capillary networksThyroid gland, adrenal glands, pituitary gland

Fun Fact:

Did you know that the pancreas is both an endocrine and an exocrine gland? It produces insulin and glucagon (endocrine function) and secretes digestive enzymes into the small intestine (exocrine function)!

πŸ§‘β€βš•οΈ Major Surface and Bony Landmarks in Each Body Region πŸ§‘β€βš•οΈ

1. Head and Neck Region

Surface Landmarks:

  • External Auditory Meatus: The opening of the ear canal, located just in front of the ear.
  • Zygomatic Arch: The bony prominence on the side of the face, forming the cheekbone.
  • Mastoid Process: The rounded projection behind the ear at the base of the skull.
  • Mental Protuberance: The prominent part of the chin (part of the mandible).
  • Nasal Bridge: The area between the eyes, forming the top of the nose.

Bony Landmarks:

  • Frontal Bone: Forms the forehead.
  • Parietal Bones: Located on either side of the skull, above the temporal bones.
  • Occipital Bone: At the back of the skull, forms the base of the cranium.
  • Temporal Bone: Located near the temples, forming part of the sides of the skull.
  • Mandible: The lower jawbone, the only movable bone of the skull.

2. Thoracic Region (Chest)

Surface Landmarks:

  • Clavicle (Collarbone): The bone that lies between the shoulder and neck, palpable at the top of the chest.
  • Sternum (Breastbone): The flat bone at the center of the chest; can be felt in the middle of the chest.
  • Xiphoid Process: The pointed tip at the lower end of the sternum.
  • Costal Margin: The lower edge of the rib cage, felt along the sides of the lower ribs.
  • T4 and T5 vertebrae: The level of the nipples in most individuals, corresponding to the thoracic spine.

Bony Landmarks:

  • Clavicle: Connects the arm to the body, sits horizontally across the chest.
  • Sternum: The central bone of the chest.
  • Ribs: The 12 pairs of ribs encircle the chest, protecting internal organs such as the heart and lungs.
  • Thoracic Vertebrae: The 12 vertebrae in the middle part of the spine, marked by T1 to T12.

3. Abdomen Region

Surface Landmarks:

  • Umbilicus (Navel): The central depression of the abdomen, marking the site of the umbilical cord in fetal life.
  • Linea Alba: A vertical fibrous line that runs down the midline of the abdomen.
  • Iliac Crest: The top edge of the pelvic bone, felt at the side of the abdomen, near the waistline.
  • Costal Margin: The lower edge of the ribs, visible on the upper abdomen.

Bony Landmarks:

  • Pelvic Bone: Includes the iliac crest and other parts of the pelvis.
  • Lumbar Vertebrae: The five vertebrae in the lower back (L1-L5) are palpable along the back.

4. Upper Limb Region

Surface Landmarks:

  • Acromion Process: The bony prominence at the top of the shoulder, part of the scapula.
  • Deltoid Muscle: The muscle on the outer shoulder that is often felt when the arm is raised.
  • Olecranon: The bony prominence of the elbow, which forms the point of the elbow.
  • Radial Styloid Process: The bony prominence at the wrist, on the thumb side.
  • Ulnar Styloid Process: The bony prominence at the wrist, on the pinky side.

Bony Landmarks:

  • Clavicle: The collarbone that connects the arm to the body.
  • Scapula: The shoulder blade, which has the acromion process and the shoulder socket.
  • Humerus: The upper arm bone.
  • Radius and Ulna: The two bones in the forearm. The radius is on the thumb side, and the ulna is on the pinky side.

5. Lower Limb Region

Surface Landmarks:

  • Patella (Knee Cap): The rounded, palpable bone at the front of the knee joint.
  • Tibial Tuberosity: A bump on the upper part of the tibia (shinbone), located just below the knee.
  • Medial Malleolus: The bony prominence on the inner side of the ankle, part of the tibia.
  • Lateral Malleolus: The bony prominence on the outer side of the ankle, part of the fibula.
  • Greater Trochanter: The large bony prominence on the outer side of the hip, part of the femur.

Bony Landmarks:

  • Pelvis: The bony structure at the base of the spine, including the iliac crest.
  • Femur: The thigh bone, the longest bone in the body.
  • Tibia: The larger of the two lower leg bones, located in front and bearing most of the body weight.
  • Fibula: The smaller bone of the lower leg, located on the outer side.
  • Patella: The kneecap, which protects the knee joint.
  • Tarsal Bones: The seven bones that make up the ankle.
  • Metatarsals and Phalanges: The bones of the foot and toes.

6. Back and Spine Region

Surface Landmarks:

  • Spinous Processes of Vertebrae: The bony protrusions you can feel down the middle of your back.
  • Scapula (Shoulder Blade): You can feel the edges of the scapula along your upper back.
  • Iliac Crest: The top edge of the pelvis, felt on either side of the lower back.

Bony Landmarks:

  • Vertebrae: The bones that make up the spine, which can be felt along the back. The cervical, thoracic, lumbar, and sacral regions correspond to different parts of the spine.
  • Sacrum and Coccyx: The triangular bones at the base of the spine, forming the bottom of the vertebral column.

7. Pelvic Region

Surface Landmarks:

  • Pubic Symphysis: The joint between the two pubic bones, located at the front of the pelvis.
  • Iliac Crest: The top of the hip bones on either side of the lower abdomen.

Bony Landmarks:

  • Pelvis: Made up of the ilium, ischium, and pubis, forming the lower part of the trunk.
  • Sacrum: Part of the vertebral column, forming the base of the spine and the back part of the pelvis.

Fun Fact:

You can often feel many of these bony landmarks by gently palpating different areas of your body. These landmarks are crucial in clinical examinations and are used to locate muscles, joints, and organs for both diagnostic and therapeutic purposes.

πŸ§‘β€βš•οΈ Organization of the Human Body πŸ§‘β€βš•οΈ

The human body is a complex system that works together through multiple levels of organization. Each level, from the smallest cell to the whole organism, has specific structures and functions, making the body a highly coordinated and integrated machine.

1. Chemical Level (Atoms and Molecules) βš—οΈ

The chemical level is the smallest level of organization in the body, involving the basic building blocks of matter.

  • Atoms: The basic units of matter. Examples include carbon, oxygen, nitrogen, and hydrogen.
  • Molecules: Atoms combine to form molecules. Examples include water, proteins, lipids, and DNA.
  • Macromolecules: Large molecules like proteins, nucleic acids (DNA, RNA), carbohydrates, and lipids that play important roles in cellular structure and function.

Importance: These molecules form the chemical basis of all bodily functions. They participate in biochemical reactions and are essential for life.

2. Cellular Level (Cells) 🧬

Cells are the basic units of life. The body contains trillions of cells, each with a specialized function.

  • Structure of Cells: Cells are made of various components like the nucleus, cytoplasm, membrane, and organelles (e.g., mitochondria, ribosomes).
  • Types of Cells: Cells vary greatly in size, shape, and function. Examples include muscle cells, nerve cells (neurons), blood cells, and epithelial cells.

Importance: Cells carry out vital functions such as energy production, protein synthesis, movement, and communication. Specialized cells work together to form tissues.

3. Tissue Level 🧱

Tissues are groups of similar cells that work together to perform a specific function. There are four main types of tissue in the body:

  1. Epithelial Tissue: Covers body surfaces and lines cavities. It is involved in protection, secretion, and absorption.
    • Example: Skin epithelium, digestive tract lining.
  2. Connective Tissue: Provides support, protection, and binding. It includes various types, such as bone, blood, adipose tissue, and cartilage.
    • Example: Bone, blood, tendons.
  3. Muscle Tissue: Specialized for contraction and movement. There are three types: skeletal, cardiac, and smooth muscle tissue.
    • Example: Skeletal muscles, heart muscle (myocardium), walls of the intestines.
  4. Nervous Tissue: Specialized for communication and control. It is composed of neurons and neuroglia (supporting cells).
    • Example: Brain, spinal cord, nerves.

Importance: Tissues are essential for organ function and perform tasks such as movement, protection, and sensory input.

4. Organ Level πŸ₯

An organ is a structure made up of two or more types of tissue that work together to perform a specific function.

  • Examples of Organs:
    • Heart: Composed of cardiac muscle tissue, connective tissue, and epithelial tissue. Its function is to pump blood.
    • Lungs: Made up of epithelial tissue for gas exchange, connective tissue for structure, and muscle tissue for breathing.
    • Stomach: Made of muscle tissue for movement, epithelial tissue for lining, and connective tissue for support.
    • Brain: Composed of nervous tissue that controls body functions, along with blood vessels for nutrient delivery.

Importance: Organs perform complex functions such as digestion, circulation, respiration, and sensation.

5. Organ System Level 🏒

An organ system is a group of organs that work together to perform a broad function in the body. There are 11 main organ systems:

  1. Integumentary System: Includes the skin, hair, nails, and sweat glands. It protects the body and regulates temperature.
  2. Skeletal System: Made up of bones and joints. It provides structure, protection, and facilitates movement.
  3. Muscular System: Composed of muscles and tendons. It enables movement, posture, and heat production.
  4. Nervous System: Includes the brain, spinal cord, and nerves. It coordinates and regulates body activities through electrical signals.
  5. Endocrine System: Includes glands like the thyroid, pituitary, and adrenal glands. It produces hormones that regulate metabolism, growth, and reproduction.
  6. Cardiovascular System: Composed of the heart and blood vessels. It circulates blood to deliver oxygen and nutrients to tissues and remove waste.
  7. Lymphatic/Immune System: Includes the lymph nodes, spleen, and immune cells. It protects the body from infection and disease.
  8. Respiratory System: Includes the lungs, trachea, and bronchi. It facilitates gas exchange (oxygen and carbon dioxide) between the body and the environment.
  9. Digestive System: Includes the stomach, intestines, liver, and pancreas. It breaks down food and absorbs nutrients.
  10. Urinary System: Includes the kidneys, bladder, and urethra. It filters blood, removes waste, and maintains fluid balance.
  11. Reproductive System: Includes the ovaries, testes, and associated organs. It is responsible for reproduction and the creation of offspring.

Importance: Organ systems work together to maintain homeostasis and allow the body to function optimally.

6. Organism Level 🌍

The organism level is the highest level of organization in the human body. It refers to the human being as a whole. All organ systems work together to maintain the health and functionality of the entire body.

  • Importance: At the organism level, all the systems are interconnected, and their functions contribute to maintaining life, health, and homeostasis.

7. Summary of the Hierarchical Organization of the Human Body

LevelDescriptionExample
Chemical LevelAtoms and molecules that form the building blocks of life.Water, proteins, DNA
Cellular LevelCells are the basic structural and functional units of life.Muscle cells, nerve cells, blood cells
Tissue LevelGroups of similar cells that perform a specific function.Muscle tissue, epithelial tissue, nervous tissue
Organ LevelDifferent types of tissues working together to perform a function.Heart, lungs, stomach, liver
Organ System LevelOrgans that work together to perform complex functions.Digestive system, circulatory system
Organism LevelThe human body as a whole, with all organ systems working together.The human body as an integrated whole

Fun Fact:

The human body has approximately 37.2 trillion cells that work together to make you who you are!

Here’s a detailed explanation of the three types of cartilage found in the body: Hyaline Cartilage, Fibrocartilage, and Elastic Cartilage.

🦴 Cartilage: A Flexible, Strong Support Tissue 🦴

Cartilage is a type of connective tissue that is firm yet flexible. It lacks blood vessels and nerves and serves various functions in the body, including providing support, structure, and cushioning. There are three main types of cartilage based on their structure, composition, and function: hyaline cartilage, fibrocartilage, and elastic cartilage.

1. Hyaline Cartilage

Definition:

Hyaline cartilage is the most common type of cartilage in the body. It has a smooth, glassy appearance and provides firm but flexible support to various structures.

Structure:

  • Matrix Composition: The matrix of hyaline cartilage contains a gel-like ground substance rich in proteoglycans and collagen fibers (mainly type II collagen). The collagen fibers are not visible under a microscope, which gives hyaline cartilage its glassy appearance.
  • Chondrocytes: The cells in hyaline cartilage are called chondrocytes, which are located in lacunae (small cavities within the matrix).
  • Avascular: Hyaline cartilage is avascular, meaning it does not have a blood supply. Nutrients and waste products diffuse through the surrounding tissue.

Function:

  • Support and Structure: Provides smooth surfaces for joint movement and serves as a template for bone formation during embryonic development.
  • Shock Absorption: Provides cushioning in joints, reducing friction during movement.

Location:

  • Articular Cartilage: Covers the ends of long bones in synovial joints (e.g., knees, elbows, shoulders).
  • Costal Cartilage: Connects the ribs to the sternum (breastbone).
  • Nasal Cartilage: Forms the nose.
  • Trachea and Larynx: Provides structural support and flexibility in the airway.
  • Embryonic Skeleton: Forms the precursor to bone in fetal development, where it is replaced by bone in most areas as the body matures.

2. Fibrocartilage

Definition:

Fibrocartilage is the strongest type of cartilage, designed for resistance to compression and tensile strength. It is a tough cartilage that acts as a shock absorber and a reinforcing tissue.

Structure:

  • Matrix Composition: Fibrocartilage has thick bundles of collagen fibers (mainly type I collagen) arranged in parallel or slightly wavy patterns. This dense network of collagen fibers provides strength and durability.
  • Chondrocytes: The chondrocytes are fewer and larger compared to those in hyaline cartilage and are found within the lacunae.
  • Avascular: Like hyaline cartilage, fibrocartilage is also avascular.

Function:

  • Resistant to Compression: Provides cushioning and absorbs shock in areas subjected to heavy pressure.
  • Strong Support: Offers tensile strength to tissues and structures subject to stretching or pulling forces.

Location:

  • Intervertebral Discs: Located between the vertebrae in the spine, fibrocartilage helps absorb shock and provides flexibility.
  • Pubic Symphysis: The joint between the two pubic bones, allowing limited movement during childbirth and walking.
  • Menisci of the Knee: Crescent-shaped fibrocartilage structures that improve the fit of the femur and tibia, helping to absorb shock and reduce friction in the knee joint.
  • Temporomandibular Joint (TMJ): Fibrocartilage is present in the disc of the TMJ, helping with jaw movements and shock absorption.

3. Elastic Cartilage

Definition:

Elastic cartilage is the most flexible type of cartilage. It provides both strength and the ability to return to its original shape after deformation. This cartilage contains elastic fibers in addition to collagen fibers.

Structure:

  • Matrix Composition: The matrix of elastic cartilage is rich in elastin fibers (a type of elastic protein) in addition to collagen fibers (type II). This gives it a high degree of flexibility.
  • Chondrocytes: The chondrocytes are located in lacunae and are relatively abundant.
  • Avascular: Like other cartilages, elastic cartilage is avascular.

Function:

  • Flexibility and Elasticity: Elastic cartilage allows for the shape retention and flexibility of certain structures, meaning they can bend and return to their original shape.
  • Support: Provides support while allowing the structure to return to its original shape after being stretched or deformed.

Location:

  • Ear (Auricle): The outer part of the ear is primarily composed of elastic cartilage, providing structure and shape.
  • Epiglottis: The flap of tissue that covers the trachea during swallowing, preventing food from entering the airways.
  • Eustachian Tube: The tube that connects the middle ear to the pharynx, made of elastic cartilage for flexibility.

Comparison of Hyaline, Fibrocartilage, and Elastic Cartilage

FeatureHyaline CartilageFibrocartilageElastic Cartilage
Collagen FibersType II collagen (fine fibers)Thick bundles of Type I collagenType II collagen and elastic fibers
FlexibilitySlightly flexibleStrong but less flexibleHighly flexible and elastic
AppearanceGlassy, smooth, translucentDense, fibrous, with less smoothnessYellowish, opaque, more elastic
LocationJoints, ribs, nose, tracheaIntervertebral discs, pubic symphysis, menisciEar, epiglottis, Eustachian tube
FunctionProvides smooth surface for movement, supportAbsorbs shock, resists compressionProvides flexibility and shape retention
StrengthModerateHigh (strongest type)Moderate (elastic strength)

Fun Fact:

Did you know that hyaline cartilage is the most abundant type of cartilage in the body and that it forms the blueprint for bone during fetal development? It acts as a template for many bones in the body before it is replaced by bone tissue in a process called endochondral ossification

  • Hyaline Cartilage: The most common, providing smooth surfaces for joint movement and support for structures like the nose and ribs.
  • Fibrocartilage: The toughest, providing shock absorption and tensile strength in places like intervertebral discs and the knee menisci.
  • Elastic Cartilage: Highly flexible, providing shape and elasticity to structures like the ear and epiglottis.

πŸ‹οΈβ€β™‚οΈ Comparison of Skeletal, Smooth, and Cardiac Muscle πŸ‹οΈβ€β™€οΈ

Muscle tissues are specialized for contraction and movement in the body. There are three types of muscle tissue, each with distinct characteristics that suit their specific functions. Let’s take a look at the differences and similarities between skeletal, smooth, and cardiac muscle:

1. Skeletal Muscle πŸ’ͺ

Structure:

  • Striated: Skeletal muscle fibers have a striped appearance due to the arrangement of actin and myosin filaments in the muscle fibers.
  • Multinucleated: Each muscle fiber contains multiple nuclei located on the outer edges of the cell.
  • Long, Cylindrical Fibers: Muscle fibers are long and cylindrical, often running the entire length of the muscle.

Control:

  • Voluntary Control: Skeletal muscles are under conscious control, meaning you can decide to contract them, like when walking or lifting weights.
  • Neurological Control: Controlled by the somatic nervous system, with motor neurons sending signals to initiate contraction.

Function:

  • Movement of the Skeleton: Skeletal muscles are primarily responsible for moving the bones and maintaining posture.
  • Heat Production: Skeletal muscle contractions generate heat, helping regulate body temperature.

Location:

  • Found attached to bones throughout the body (e.g., biceps, quadriceps, trapezius, diaphragm).

2. Smooth Muscle πŸ§˜β€β™€οΈ

Structure:

  • Non-striated: Smooth muscle does not have the striped appearance found in skeletal muscle; the actin and myosin filaments are arranged differently, giving a smooth texture.
  • Spindle-shaped Cells: The cells are long and tapered at each end, with a single central nucleus.
  • Shorter Fibers: Smooth muscle fibers are shorter than skeletal muscle fibers and are arranged in sheets or layers.

Control:

  • Involuntary Control: Smooth muscle is not consciously controlled. It operates automatically through autonomic nervous system signals and can also be regulated by hormones.
  • Neurological and Hormonal Control: Controlled by the autonomic nervous system and hormones (e.g., adrenaline), not by conscious thought.

Function:

  • Movement of Internal Organs: Smooth muscle controls the movement of materials within organs such as the stomach, intestines, blood vessels, and bladder.
  • Regulation of Blood Flow: In blood vessels, smooth muscle regulates the diameter of the vessels, controlling blood pressure.

Location:

  • Found in the walls of hollow organs such as the digestive tract, blood vessels, bladder, airways, and reproductive organs.

3. Cardiac Muscle ❀️

Structure:

  • Striated: Like skeletal muscle, cardiac muscle is striated due to the arrangement of actin and myosin filaments, but the striations are less defined.
  • Branched Cells: Cardiac muscle fibers are branched and interconnected, forming a network.
  • Single Central Nucleus: Most cardiac muscle cells have a single, central nucleus.
  • Intercalated Discs: These are specialized connections between cardiac muscle cells, allowing for synchronized contraction.

Control:

  • Involuntary Control: Cardiac muscle operates automatically, regulated by the autonomic nervous system and certain hormones (e.g., adrenaline).
  • Pacemaker Cells: The SA node (sinoatrial node) in the heart generates spontaneous electrical impulses, controlling the rhythm of cardiac muscle contraction.

Function:

  • Pumps Blood: Cardiac muscle is specialized to pump blood through the heart and into the circulatory system.
  • Rhythmic Contraction: It contracts in a rhythmic and coordinated manner, ensuring a steady flow of blood.

Location:

  • Found exclusively in the heart (myocardium).

4. Comparison Table: Skeletal, Smooth, and Cardiac Muscle

FeatureSkeletal MuscleSmooth MuscleCardiac Muscle
StriatedYesNoYes
NucleiMultinucleatedSingle central nucleusSingle central nucleus
Shape of CellsLong, cylindricalSpindle-shapedBranched and interconnected
ControlVoluntary (conscious)Involuntary (automatic)Involuntary (automatic)
FunctionMovement of bones, posture, heat productionMovement of internal organs, blood vesselsPumps blood through the heart
LocationAttached to bonesWalls of hollow organs (e.g., stomach, blood vessels)Heart (myocardium)
RegulationSomatic nervous systemAutonomic nervous system and hormonesAutonomic nervous system, pacemaker cells
Speed of ContractionFastSlow and sustainedFast and rhythmic

Key Differences:

  • Control: Skeletal muscle is under voluntary control, while smooth and cardiac muscle are both involuntary.
  • Structure: Skeletal muscle fibers are long and multinucleated, while smooth muscle cells are short and spindle-shaped, and cardiac muscle cells are branched and interconnected with intercalated discs.
  • Function: Skeletal muscle is responsible for voluntary movement, smooth muscle controls involuntary movements in internal organs, and cardiac muscle pumps blood in the heart.

Fun Fact:

The heart’s cardiac muscle is so unique that it can beat independently of external nervous stimuli! Even if you remove the heart from the body, it will continue to beat due to the electrical impulses generated by the pacemaker cells in the SA node!

Published
Categorized as B.SC-ANATOMY-NOTES, Uncategorised